‘우리 아이 교정,
편하고 안전하게’

인비절라인 퍼스트
시작하세요!


연세대 출신 치과교정과 전문의 직접 진료
최상위 레벨의 인비절라인 네트워크
소아·청소년 성장교정 증례 다수 보유
대전 둔산동에서 교정진료 10년 이상

WHY 왜!
인비절라인 퍼스트일까요?

“지금 이 순간, 아이는
하루가 다르게 자라고 있습니다”

성장기 아이에게
꼭 맞춘 교정이 필요
해요!

인비절라인 퍼스트는
아이가 자라는 속도를 따라가며
자연스럽게, 아이답게 성장할 수 있도록 돕는
어린이 전용 투명교정입니다

  • 아이가 아프지 않도록 통증감소
  • 학교에서 불편하지 않도록 편한 착용감
  • 웃는 얼굴에 그늘이 없도록 높은 심미성

‘부모님 마음으로 설계된 교정 방법입니다’

같은 인비절라인,
결과까지 똑같을까요?

아닙니다

누가, 어떤 계획으로
진료하느냐에 따라
그 결과가 달라집니다

01

성장기 교정은
‘전문의의 눈’이 필요해요.

임경섭 대표원장

임경섭 대표원장

치과교정과 전문의
연세대학교 치과대학병원 출신

연세대학교 치과대학 및 대학원
연세대학교 치과대학병원 교정과 인턴, 레지던트
University of Pennsylvania visiting residency course 수료
대한 치과 교정학회 정회원 및 인정의
연세대학교 치과대학 치과병원 최우수 수련의상 수상

  • 보건복지부
    치과교정과
    전문의

    보건복지부

  • 보건복지부
    연세세브란스
    출신 의료진

    세브란스병원

  • 보건복지부
    정회원 및
    인정의

    대한치과교정학회

02


연세바로치과는
많은 아이들의 교정을 마주하며
쌓아온 경험이 있습니다

레드 다이아몬드 등급은
‘많이 해본 만큼 더 정확히 아는’
임상 경험의 결과입니다

03

10년 넘게 둔산동 한 자리에서
아이들과 오랫동안 함께해왔습니다

  • since
    2015
  • 축적된 경험이
    아이에게
    더 나은 미래를
    선물합니다

Before & After

‘아이의 자신감이 자라는 순간을 함께했습니다’

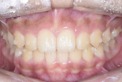
  • ‘여자아이인데, 앞니 사이가
    벌어지기 시작했어요’

    전치부 치간이개
    치료기간 ㅣ 18개월 (2012.12~2020.12)

    내원 당시 9세 여자 아이이며,
    상악 좌측 송곳니 유치가 너무 빨리 탈락해서
    앞니가 벌어지고 치열이 비뚤어졌습니다.
    인비절라인 퍼스트로 송곳니 맹출공간을 만들고
    앞니 사이 공간을 닫아주었습니다.

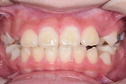
  • ‘앞니가 깊게 물려서
    나중에 돌출입이 될 것 같아요’

    과개교합
    치료기간 ㅣ 12개월 (2022.09~2023.19)

    혼합치열기에 해당하는 남자아이,
    하악 송곳니가 나올 공간이 부족해서
    앞니가 깊게 물리는 상태였습니다.
    영구치 맹출과 골격 성장을 고려해서
    인비절라인 1차교정을 진행했습니다.

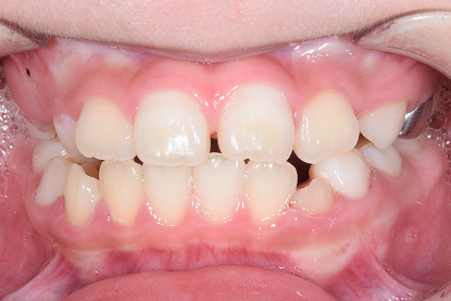
  • ‘아이한테 무턱이 있어서
    입이 튀어나올까봐 걱정이에요’

    어린이 무턱교정
    치료 중 ㅣ 1세트 완료 (2024.6~2024.12)

    아래턱이 약간 뒤로 들어간 상태이며
    상악 앞니도 앞으로 많이 뻗었습니다.
    인비절라인 퍼스트로 조기에 개입해서
    치아가 바르게 맞물리도록 만들면서
    안면골격의 올바른 성장을 유도했습니다.

교정이 처음인 아이와 부모님께
인비절라인 퍼스트의
전과정
을 알려드려요

아이가 무서워하지 않도록,
부모님이 불안하지 않도록,
교정의 전 과정을 함께 걸어갑니다.

FAQ

부모님들이 가장 많이
물어보시는
질문들

  • Q. 1차교정을 하면 2차교정이 필요 없나요?
    아이에 따라 다릅니다.
    1차교정이 잘 끝나면 2차교정의 범위·기간이 줄어드는 경우가 많습니다.
  • Q. 인비절라인 퍼스트가 모든 아이에게 가능한가요?
    아닙니다.
    성장 단계·치열 상태·협조도를 보고 도움이 되는 아이에게만 권합니다.
  • Q. 치료 기간은 어느 정도인가요?
    상태에 따라 다르지만, 보통 1년 전후를 기준으로 설명드립니다.
  • Q. 고정식 교정장치보다 정말 편한가요?
    심미성·양치·식사 면에서는 대부분 아이들이 더 편하다고 느낍니다.
    다만 정해진 시간만큼 꾸준히 착용하는 것이 중요합니다.

바쁜 워킹맘을 위해
평일에 야간진료를 운영합니다

AM
9:30
AM
10:00
AM
11:00
PM
01:00
PM
02:00
PM
07:00
PM
08:00




야간진료

매주 목요일 휴진

점심
시간

진료 상담을 원하신다면 전화로 예약해주세요
목요일 및 일요일과 공휴일은 휴진 / 토요일 9:30 진료 시작
■ 야간진료

오시는 길 및 상담

대전시 서구 대덕대로 203
둔산미래빌딩 5층 연세바로치과의원

의료기관명칭 : 연세바로치과의원 대전타임월드점 대전시 서구 대덕대로 203, 미래빌딩 5층
Tel. 042 - 471 - 1010 대표자명 : 임경섭 사업자등록번호 : 702 - 44 - 00041
Copyright © YONSEIBARO CLINIC. All rights reserved.