
오늘은 양악수술 중에서
선수술에 대해 궁금하신 것
자세히 설명해드리겠습니다

전통적인 양악수술방법은
수술전교정-수술-수술후교정
이런 과정을 거쳐서 진행하게
되는데요. 이때 문제점은
수술전 교정 하는 동안 윗니가 들어가고
아랫니가 나오기 때문에
(아랫턱을 충분히 넣기 위해서)
선교정 동안
"외모가 더 주걱턱" 처럼 보이게 됩니다.

그래서 수술을 먼저하는
선수술을 시행하게되었습니다.
하지만 선수술은 가능한 경우가 있고
아닌 경우가 있는데요
이것은 본을 떠서 미리 모델상에서 수술을
해보고 교합을 본상태에서
선수술 가능
여부를 따져보게 됩니다.

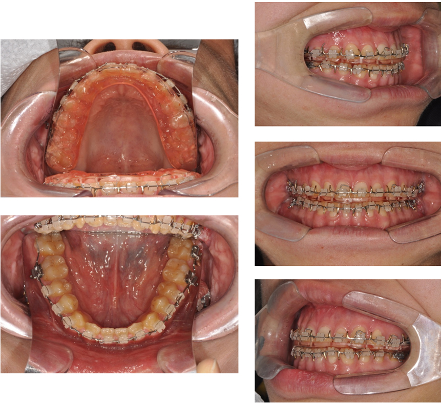
실제로 연세고운미소치과의
선수술케이스를 보겠습니다
아래턱이 나오고 비대칭있는 분이십니다.
본을 떠보니 선수술이 가능해서
선수술을 시행하였습니다.

브라켓 달아놓고
수술을 위한 준비가 완료됐습니다
외모가 나빠지지 않고
바로 수술을 할수 있으며
전체 치료기간도 줄어들수
있습니다.

장치제거후 모습입니다.
수술과 교정이 잘 마무리 된것을
볼수 있습니다.
양악수술을 고민중이신 분
특히 선수술을 교정중이신 분.
하지만 꼭 유념해야 하셔야 할 것은
교정전문의 대표원장님인지 확인하시고
첫째 정확한 치료계획을 수립하고
둘째 본을 떠서 선수술이 가능한 지 확인한 후
셋째 교정병원과 수술병원이 충분한
경험이 있는 지 확인하는 것이 필수입니다.
양악수술에 대해
고민하지 마시고
전문성과 경험이 겸비된
대전연세고운미소치과로
문의주세요~~~!!
| 이전글 | 어린이치아교정 ) 모든 부정교합 설명해 드립니다. 2022.09.19 |
|---|---|
| 다음글 | 어린이치아교정,영구치 나올 공간이 없어요? 2022.09.20 |
| 교정/임플란트 | |||
|---|---|---|---|
| 교정 | 교정진단 | 3만원 | |
| 1차교정 | 150만원 | 월비 3만원 |
|
| 2차교정 | total | ||
| 투명교정 | 310만원 | 월비 5만원 포함 |
|
| 인비절라인 전체(컴프리헨시브) |
650만원 | ||
| 인비절라인 (라이트) |
500만원 | ||
| 인비절라인 (퍼스트) |
370만원 | ||
| 메탈 브라켓 | 380만원 | ||
| 세라믹 브라켓 | 400만원 | ||
| 클리피M | 430만원 | ||
| 클리피C | 450만원 | ||
| S-line | 500만원 | ||
| 콤비교정 | 650만원 | ||
| 7-7(클리피씨) 한 악 |
280만원 | ||
| 7-7(S-line) 한 악 |
300만원 | ||
| 3-3 상,하악 |
250만원 | ||
| 3-3 한 악 |
160만원 | ||
| 악궁확장장치 (RPE) |
35만원 | ||
| 보철교정 | 70만원 | ||
| DBD3-3 (악/상,하악) |
25/40만원 | ||
| DBD3-4 (악/상,하악) |
30/60만원 | ||
| 유지장치 | 타치과 fixed |
5만원 | 1치당 |
| 타치과 와이어찔림 |
1만원 | ||
| fixed (전악) |
15만원 | 타원 30만원 |
|
| c.r | 5만원 | 타원 15만원 |
|
| circum | 10만원 | 타원 20만원 |
|
| 임플란트 | 국산 (오스템) |
99만원 | 보철 변경시 구치부 5만원 전치부 10만원 |
| 외산 (스트라우만) |
145만원 | ||
| GBR | 30만원 | ||
| 상악동 거상술 (sinus life) |
50만원 | Crestal | |
| 100만원 | Lateral | ||
| 멤브레인 (menbrain) |
20만원 | 뼈이식 안들어 갈 시 |
|
| 보험임플란트 | 약40만원 | 보험 | |
| 일반/ 보철 치료 | |||
| 레진 | 구치부 1면 |
10만원 | 치료 부위 마다 상이함 (면당금액) |
| 구치부 2면 |
15만원 | ||
| 전치부 1면 |
15만원 | ||
| 전치부 2면 |
24만원 | ||
| 잇몸라인 (C.ab) |
8만원 | ||
| 앞니사이 (Diastema) |
20만원 | ||
| 전치부 파절 | 20만원 | ||
| 간단레진 볼/혀쪽 (B/Lingual picture) |
5만원 | ||
| 인레이 | 골드 인레이 | 35만원 | |
| 세라믹 인레이 | 30만원 | ||
| 세라믹 온레이 | 35만원 | ||
| 크라운 | 골드 크라운 | 55만원 | A(46%) |
| 지르코니아 | 50만원 | 구치부 | |
| 60만원 | 전치부 | ||
| PFM (겉:사기/안:금속) |
35만원 | 구치부 | |
| 45만원 | 전치부 | ||
| 가치 (pontic) |
cr비용 | ||
| 임플란트 타원 | 60만원 | cr만 | |
| 70만원 | 어버트 먼트 까지 |
||
| 라미네이트 | 60만원 (부가세 별도) | ||
| 코어 & post |
레진 core | 10만원 | |
| wall+core | 10만원 | ||
| post+core | 15만원 | ||
| 인접면우식 + rct한 전치부 core |
15만원 | ||
| 미백 | 자가미백 | 30만원 | 부가세 별도 |
| 전문가미백 | 30만원 | ||
| 전문가+자가미백 | 50만원 | ||
| 실활치미백 W.B | 10만원 | ||
| 치석제거 | 6만원 | ||