
주걱턱은 심하지 않은데
반대교합이 있는 경우
수술 없이 진행된 케이스에 대해서
설명드리겠습니다.

10대 여자 환자분이시고요
아래턱이 살짝 나와 보이고
치아가 거꾸로 물리는
반대교합을 주소로 내원하셨습니다.

옆에서 찍은 엑스레이를 보면
아랫니가 윗니를 거꾸로 무는
정도가 심한 것을 알 수 있습니다.

- 양악 수술 없이 반대교합 해결이 가능할까요?
- "첫 번째 확인해야 할 사항" 은
윗니랑 아랫니 앞니끼리
닿게 유도할 수 있는지 확인해 보세요
만약 앞니끼리 닿을 수 있는 분들은 교정으로
해결이 가능한 경우가 많습니다.

-양악 수술 없이 반대교합 해결이 가능할까요?
:두 번째 확인할 사항은
외모의 변화가 필요한지 체크해야 합니다
교정만으로는 아래턱을 넣는 것은
한계가 있기 때문에
만약 내가 주걱턱이 심해서
외모의 변화가 필요하다고하면
양악 수술이 필요하고
반대교합만 해결해도 좋을 것 같다는
분들은 교정만 시도할 수 있습니다.

양악 수술 없이 교정 후 모습입니다
턱이 살짝 들어가 보입니다
그것은 꽉 문 상태가 아닌
앞니끼리 맞문 상태로 교합이
형성되었기 때문에 턱이 들어간 것처럼
보이게 됩니다.
(실제로 턱이 짧아지는 것은 아닙니다)

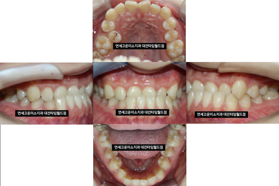
교정 후 입안 모습입니다
서산에서 오시던 분인데
중간에 참 힘들어하시고 하셨는데
결과는 아주 만족스럽게 완료되었습니다.
반대교합도 깔끔하게 해결되고
교합도 훌륭합니다.

-그렇다면 양악 수술 없이 반대교합을 해결할 때
주의사항은 없을까요?
되도록 비발치로 하는 것을 추천드립니다
(물론 케이스에 따라 발치해야 하는 경우도 있습니다)

치료 전후 모습입니다
외모도 개선된 것을 볼 수가 있습니다.


치료 전후 비교 모습입니다
배열도 가지런해지고
오른쪽 위에 들어가 있던 작은 어금니도
배열이 되어서 기능을 할 수 있게
만들어주었습니다.

치료 후 치아배열 엑스레이 사진입니다
치아에 큰 부작용 없이
잘 마무리된 것을 확인할 수 있네요.
대전치과 연세고운미소치과에서
양악 수술 없이 반대교합을 해결한 케이스를
소개해 드렸습니다
제가 꼭 말씀드리고 싶은 것은
양악 수술을 하지 말라 이것이 아니고
양악 수술이 해야 되는지 하지 않아도 되는지
궁금해하시는 분들이 많아서
그 판별법을 간략히 소개해 드렸습니다
앞니끼리 맞물리는 것이 유도가 되는지
외모의 변화가 크게 없어도 되는지
이 두 가지 사항을 꼭 체크해보시고
더 궁금한 사항은
연세 고운 미소치과로 문의해 주세요
| 이전글 | 성인치아교정 너무 늦은건 아닐까요? 2022.09.28 |
|---|---|
| 다음글 | 치아사이 공간이 있는 경우 교정치료사례 2022.09.29 |
| 교정/임플란트 | |||
|---|---|---|---|
| 교정 | 교정진단 | 3만원 | |
| 1차교정 | 150만원 | 월비 3만원 |
|
| 2차교정 | total | ||
| 투명교정 | 310만원 | 월비 5만원 포함 |
|
| 인비절라인 전체(컴프리헨시브) |
650만원 | ||
| 인비절라인 (라이트) |
500만원 | ||
| 인비절라인 (퍼스트) |
370만원 | ||
| 메탈 브라켓 | 380만원 | ||
| 세라믹 브라켓 | 400만원 | ||
| 클리피M | 430만원 | ||
| 클리피C | 450만원 | ||
| S-line | 500만원 | ||
| 콤비교정 | 650만원 | ||
| 7-7(클리피씨) 한 악 |
280만원 | ||
| 7-7(S-line) 한 악 |
300만원 | ||
| 3-3 상,하악 |
250만원 | ||
| 3-3 한 악 |
160만원 | ||
| 악궁확장장치 (RPE) |
35만원 | ||
| 보철교정 | 70만원 | ||
| DBD3-3 (악/상,하악) |
25/40만원 | ||
| DBD3-4 (악/상,하악) |
30/60만원 | ||
| 유지장치 | 타치과 fixed |
5만원 | 1치당 |
| 타치과 와이어찔림 |
1만원 | ||
| fixed (전악) |
15만원 | 타원 30만원 |
|
| c.r | 5만원 | 타원 15만원 |
|
| circum | 10만원 | 타원 20만원 |
|
| 임플란트 | 국산 (오스템) |
99만원 | 보철 변경시 구치부 5만원 전치부 10만원 |
| 외산 (스트라우만) |
145만원 | ||
| GBR | 30만원 | ||
| 상악동 거상술 (sinus life) |
50만원 | Crestal | |
| 100만원 | Lateral | ||
| 멤브레인 (menbrain) |
20만원 | 뼈이식 안들어 갈 시 |
|
| 보험임플란트 | 약40만원 | 보험 | |
| 일반/ 보철 치료 | |||
| 레진 | 구치부 1면 |
10만원 | 치료 부위 마다 상이함 (면당금액) |
| 구치부 2면 |
15만원 | ||
| 전치부 1면 |
15만원 | ||
| 전치부 2면 |
24만원 | ||
| 잇몸라인 (C.ab) |
8만원 | ||
| 앞니사이 (Diastema) |
20만원 | ||
| 전치부 파절 | 20만원 | ||
| 간단레진 볼/혀쪽 (B/Lingual picture) |
5만원 | ||
| 인레이 | 골드 인레이 | 35만원 | |
| 세라믹 인레이 | 30만원 | ||
| 세라믹 온레이 | 35만원 | ||
| 크라운 | 골드 크라운 | 55만원 | A(46%) |
| 지르코니아 | 50만원 | 구치부 | |
| 60만원 | 전치부 | ||
| PFM (겉:사기/안:금속) |
35만원 | 구치부 | |
| 45만원 | 전치부 | ||
| 가치 (pontic) |
cr비용 | ||
| 임플란트 타원 | 60만원 | cr만 | |
| 70만원 | 어버트 먼트 까지 |
||
| 라미네이트 | 60만원 (부가세 별도) | ||
| 코어 & post |
레진 core | 10만원 | |
| wall+core | 10만원 | ||
| post+core | 15만원 | ||
| 인접면우식 + rct한 전치부 core |
15만원 | ||
| 미백 | 자가미백 | 30만원 | 부가세 별도 |
| 전문가미백 | 30만원 | ||
| 전문가+자가미백 | 50만원 | ||
| 실활치미백 W.B | 10만원 | ||
| 치석제거 | 6만원 | ||