
교정 상담을 하다 보면 환자분들께서
가장 궁금해하시는 것이 언제 발치하고
언제 비발치를 하는지 제일 궁금해하십니다
오늘은 케이스를 보면서 그 기준에 대해
설명해 드리겠습니다.
발치 case) 입이 돌출돼서 해결하고 싶어요


코에서 입술로 이해되는 각도가
심한 예각을 이루고 있고
무턱이 심한 것을 알 수가 있습니다.

돌출입 환자분들의 전형적인 특징이
입술을 자연스럽게 다물기 힘들기 때문에
"호두턱양상"이 나타납니다
.
이렇게 돌출입이면서 무턱이신 분들은
보통 발치치료를 진행하게 됩니다.
Q) 그럼 발치치료는 언제 하게 될까요?
"-입이 돌출이 있거나 무턱인 경우,
-돌출이 없어도 치아 불규칙함이 심해서
공간이 부족한 경우"

발치치료 후의 모습입니다
입술 각도가 많이 줄어든 것을
확인할 수 있습니다.

엑스레이에서 보면 호두턱 양상도
개선이 되었습니다.

입안 사진을 보면 중심선도 개선되었고
교합도 개선이 된 것을 확인할 수 있습니다.

실제로 발치교정을 해서
무턱을 개선하는 방법은
실제로 턱이 나오는 것이 아니고 입술이 들어가니
상대적으로 턱이 나와 보이는 효과를 노리는
것입니다.

무턱 환자분들은 윗니가 아랫니를
깊게 무는 과개교합 양상을 대게 보이며
과개교합을 잘 해결하는 것이
치료 성공의 열쇠입니다.

즉 발치교정은 입이 나와있거나
치아 불규칙 정도가 심한 경우에
진행하는 것이 좋습니다.
만약 입은 나오지 않았는데 배열이 안 좋은
경우에는 세심한 진단이 꼭 필요합니다.
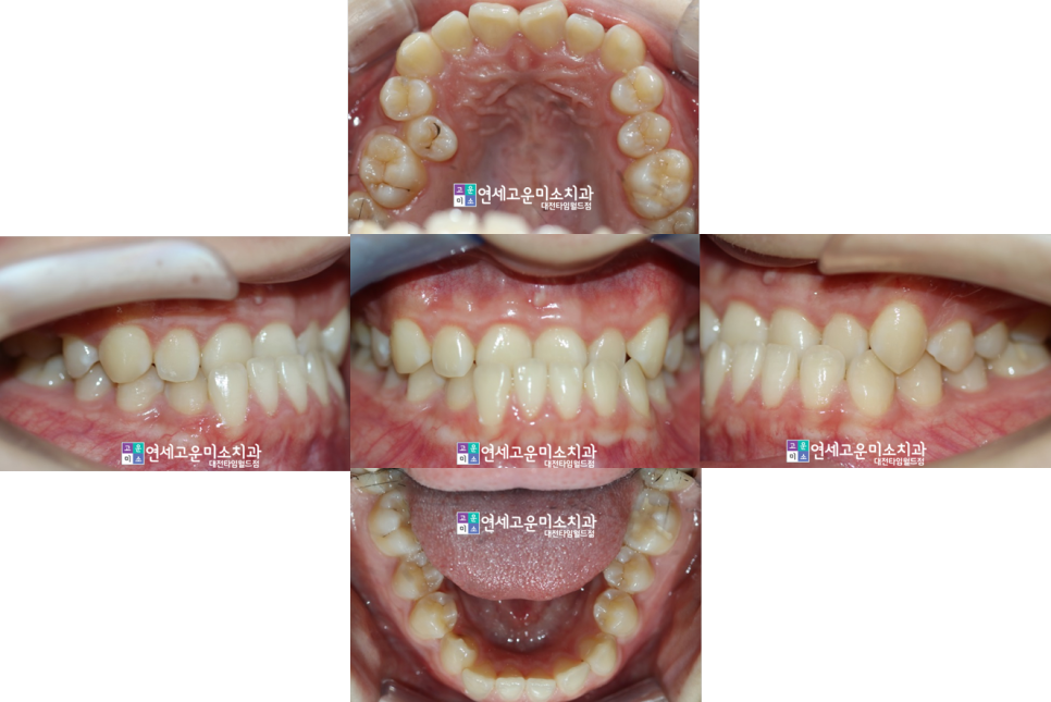
비발치 case) 턱이 나와 보이고 이가 거꾸로 물려요

아래턱이 나와 보인다는 이유로
교정을 원하셨습니다.

치아 상태를 보면 심각한데요.
위에 앞니가 아래 앞니 안으로 전부
들어가 있는 것을 볼 수 있습니다.
이렇게 거꾸로 물리는 것을 반대교합이라고 하는데요
치료시기는 만 6,7세에 하는 게 좋은데요.
늦게 시작한 것이 아쉽습니다.
그 사이에 아래턱이 자라버렸습니다.

환자분은 치아를 발치하지 않고
마무리를 하였습니다.
Q) 언제 치아를 발치하지 않고 진행하나?
"-입이 들어가 보이거나 옆모습의 변화가 필요 없는 경우
-아래턱이 나와 보이는 경우
-발치 없이도 충분히 치아를 배열할 수 있는 경우"

교정 완료 후 모습입니다.
윗니가 아랫니를 잘 덮고 있으며
교합도 잘 형성해 주었습니다.

턱이 들어간 효과가 보입니다
수술은 하지 않았기 때문에 실제로
턱이 짧아진 것은 아니지만
조기 접촉되는 부분을 제거하였기 때문에
그런 효과가 나타납니다.

전 후 비교사진입니다.
우리 아이가 이렇게 치아가 거꾸로 물리는
상황이라면 지체하지 마시고
바로 교정하실 것을 권해드립니다.

즉 이번 포스팅에서 말씀드린 것처럼
치아를 뽑냐 아니냐의 문제는 단순히
치아 배열의 문제뿐만이 아니라
외모와의 조화를 생각해서 항상 결정해야 합니다
궁금하신 사항은
병원으로 문의해주시면
자세하게 상담 도와드리겠습니다.
Tel. 042-471-1010
| 이전글 | 치아결손 임플란트 없이 해결하자 2023.06.28 |
|---|---|
| 다음글 | 이른 나이에 꼭 해결해야 할 부정교합 2023.09.05 |
| 교정/임플란트 | |||
|---|---|---|---|
| 교정 | 교정진단 | 3만원 | |
| 1차교정 | 150만원 | 월비 3만원 |
|
| 2차교정 | total | ||
| 투명교정 | 310만원 | 월비 5만원 포함 |
|
| 인비절라인 전체(컴프리헨시브) |
650만원 | ||
| 인비절라인 (라이트) |
500만원 | ||
| 인비절라인 (퍼스트) |
370만원 | ||
| 메탈 브라켓 | 380만원 | ||
| 세라믹 브라켓 | 400만원 | ||
| 클리피M | 430만원 | ||
| 클리피C | 450만원 | ||
| S-line | 500만원 | ||
| 콤비교정 | 650만원 | ||
| 7-7(클리피씨) 한 악 |
280만원 | ||
| 7-7(S-line) 한 악 |
300만원 | ||
| 3-3 상,하악 |
250만원 | ||
| 3-3 한 악 |
160만원 | ||
| 악궁확장장치 (RPE) |
35만원 | ||
| 보철교정 | 70만원 | ||
| DBD3-3 (악/상,하악) |
25/40만원 | ||
| DBD3-4 (악/상,하악) |
30/60만원 | ||
| 유지장치 | 타치과 fixed |
5만원 | 1치당 |
| 타치과 와이어찔림 |
1만원 | ||
| fixed (전악) |
15만원 | 타원 30만원 |
|
| c.r | 5만원 | 타원 15만원 |
|
| circum | 10만원 | 타원 20만원 |
|
| 임플란트 | 국산 (오스템) |
99만원 | 보철 변경시 구치부 5만원 전치부 10만원 |
| 외산 (스트라우만) |
145만원 | ||
| GBR | 30만원 | ||
| 상악동 거상술 (sinus life) |
50만원 | Crestal | |
| 100만원 | Lateral | ||
| 멤브레인 (menbrain) |
20만원 | 뼈이식 안들어 갈 시 |
|
| 보험임플란트 | 약40만원 | 보험 | |
| 일반/ 보철 치료 | |||
| 레진 | 구치부 1면 |
10만원 | 치료 부위 마다 상이함 (면당금액) |
| 구치부 2면 |
15만원 | ||
| 전치부 1면 |
15만원 | ||
| 전치부 2면 |
24만원 | ||
| 잇몸라인 (C.ab) |
8만원 | ||
| 앞니사이 (Diastema) |
20만원 | ||
| 전치부 파절 | 20만원 | ||
| 간단레진 볼/혀쪽 (B/Lingual picture) |
5만원 | ||
| 인레이 | 골드 인레이 | 35만원 | |
| 세라믹 인레이 | 30만원 | ||
| 세라믹 온레이 | 35만원 | ||
| 크라운 | 골드 크라운 | 55만원 | A(46%) |
| 지르코니아 | 50만원 | 구치부 | |
| 60만원 | 전치부 | ||
| PFM (겉:사기/안:금속) |
35만원 | 구치부 | |
| 45만원 | 전치부 | ||
| 가치 (pontic) |
cr비용 | ||
| 임플란트 타원 | 60만원 | cr만 | |
| 70만원 | 어버트 먼트 까지 |
||
| 라미네이트 | 60만원 (부가세 별도) | ||
| 코어 & post |
레진 core | 10만원 | |
| wall+core | 10만원 | ||
| post+core | 15만원 | ||
| 인접면우식 + rct한 전치부 core |
15만원 | ||
| 미백 | 자가미백 | 30만원 | 부가세 별도 |
| 전문가미백 | 30만원 | ||
| 전문가+자가미백 | 50만원 | ||
| 실활치미백 W.B | 10만원 | ||
| 치석제거 | 6만원 | ||