
안녕하세요.
연세고운미소치과 원장 임경섭입니다
오늘은 어린 나이에 꼭 해야 할 부정교합은
무엇이 있고 어떻게 진행되는지 설명해 드리겠습니다
(여기서 어린 나이는 만 6,7세에 시작해야 하는
부정교합을 말씀드립니다.)
Case 1. 구치부 반대교합
"얼굴이 비뚤어졌어요"




왼쪽 위에 사진을 보시면 윗니 어금니가
아래 어금니 안으로 들어간 것을 볼 수가 있습니다.
(윗니와 아랫니 중심선이 많이
맞지 않는 것을 볼 수 있습니다.)
구치부 반대교합을 방치할 경우
얼굴에 비대칭이 발생할 수 있습니다.
이런 경우 악궁확장장치를 이용하여
조기에 반대교합을 해결하여야
성장기에 비대칭이 되는 것을 예방할 수 있습니다.
위 환자분도 악궁확장장치 사용 후
구치부 반대교합도 해결되었고
중심선도 개선된 것을 확인할 수 있습니다.


확장장치 이후 얼굴 사진입니다.






치료 전후 구내 사진입니다
좌우 측 모두 위 어금니가 아래 어금니를
잘 덮고 있으며, 윗니와 아랫니 중심선도
잘 맞아들어간 것을 확인할 수 있습니다.
즉 구치부 반대교합을 조기에 치료해줘야 하는
이유는 얼굴이 비대칭이 되는 것을 막기 위함입니다.
Case 2. 전치부 반대교합
"앞니가 거꾸로 물려요"

?위에 앞니가 아래 앞니 안으로 들어간 교합을
전치부 반대교합이라 합니다.
이런 경우 얼굴이 주걱턱으로 자랄 수 있기 때문에
만 6,7세에 치료를 시작하실 것을 권해드립니다.
(앞니 영구치가 만 6,7세에 맹출 되는데
영구치가 나왔는데 앞니가 거꾸로 물리면 바로
치료해 주는 것이 좋습니다.)



거꾸로 물리는 원인이 단지 치아만의 문제라면
위에 환자분처럼 붙이는 교정장치를 이용하여
간단하게 거꾸로 물리는 것을 해결할 수 있습니다.
?
근데 만약 주걱턱의 유전력이 있고
앞니 전체가 거꾸로 물리는 경우라면
위 사진처럼 페이스마스크를 이용하여
반대교합을 해결해 주어야 합니다.
즉 앞니가 거꾸로 물리는 반대교합은
주걱턱으로 자랄 수 있기 때문에
만 6,7세에 치료를 시작하는 것이 좋습니다.
Case 3. 영구치 맹출장애
"이가 안 나와요"

위에 동그라미 친 부위를 보면 큰 어금니 맹출 방향이
앞쪽으로 맹출 되어 유치에 걸려서 못 나오고 있습니다.
이렇게 되면 큰 어금니 또 못 나올 뿐 아니라
작은 어금니 나올 공간도 없어지게 됩니다.
치아 배열의 문제는 원칙적으로는
영구치가 모두 나온 이후에 하는 것이 맞지만
이처럼 공간 부족 문제가 심각한 경우에는
미리 시작해서 영구치가 나올 공간을 확보해 줍니다.

부족한 공간이 있는 부위만
간단하게 교정하여
공간을 확보하고 있는 모습입니다.

교정이 마무리되었고
큰 어금니도 다시 뒤로 보내어 제자리로 맹출 되게 해주었고
작은 어금니도 잘 맹출 된 것을
확인할 수 있습니다.
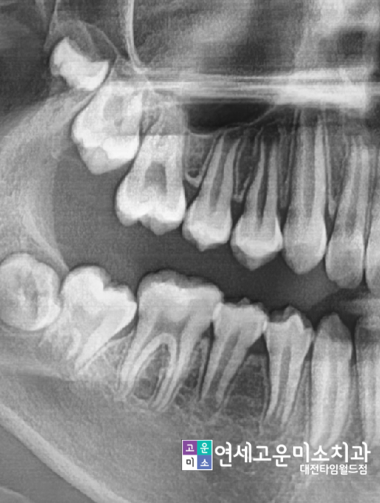
Case 3-1. 영구치 맹출 장애
"영구치가 안 나와요"


이번 케이스도 영구치 맹출 장애 케이스지만
훨씬 심각한 경우입니다.
동그라미 친 곳을 보면 영구치가 나올 공간이
전혀 없습니다.
다른 영구치가 나올 때까지 기다렸다 치료하면
그 사이 공간은 점점 더 없어지게 됩니다.

엑스레이를 보시면
영구치가 나올 공간이 얼마나 많이 부족한지
알 수가 있습니다.
이런 경우 입이 나온 경우라면 기다렸다가
작은 어금니 4개를 빼고 교정해도 되지만
이 환자분의 경우 입이 전혀 나오지 않았기 때문에
발치 교정은 합죽이처럼 될 가능성이 있습니다.
그래서 조기에 교정을 시작하기로 결정하였고
유치가 있는 상태에서 시작하였습니다.

공간 확보를 위하여 유치도 활용하였고
공간이 생기고 있는 것을 확인할 수 있습니다.

치료 완료 후 모습입니다.
치아는 하나도 빼지 않고 교정이 완료되었으며
모든 영구치가 제자리에 잘 자리 잡았습니다.
물론 치료 기간은 3년 조금 넘게 진행하였지만
보호자분도 의료진도 모두 만족한 상태로 마무리가
되었습니다.
조기에 영구치 맹출을 잡아주었기 때문에
발치를 하지 않아도 되는 케이스에서 발치하지 않고
마무리할 수 있었던 것 같습니다.

대한 치과교정학회에서는
우리 아이 첫 부정교합 검진을 만 6,7세에
시작하실 것을 권해드리고 있습니다.
| 이전글 | 발치와 비발치는 언제 해야할까요 ? 2023.07.18 |
|---|---|
| 다음글 | 발치, 비발치 부분교정 케이스 2023.09.06 |
| 교정/임플란트 | |||
|---|---|---|---|
| 교정 | 교정진단 | 3만원 | |
| 1차교정 | 150만원 | 월비 3만원 |
|
| 2차교정 | total | ||
| 투명교정 | 310만원 | 월비 5만원 포함 |
|
| 인비절라인 전체(컴프리헨시브) |
650만원 | ||
| 인비절라인 (라이트) |
500만원 | ||
| 인비절라인 (퍼스트) |
370만원 | ||
| 메탈 브라켓 | 380만원 | ||
| 세라믹 브라켓 | 400만원 | ||
| 클리피M | 430만원 | ||
| 클리피C | 450만원 | ||
| S-line | 500만원 | ||
| 콤비교정 | 650만원 | ||
| 7-7(클리피씨) 한 악 |
280만원 | ||
| 7-7(S-line) 한 악 |
300만원 | ||
| 3-3 상,하악 |
250만원 | ||
| 3-3 한 악 |
160만원 | ||
| 악궁확장장치 (RPE) |
35만원 | ||
| 보철교정 | 70만원 | ||
| DBD3-3 (악/상,하악) |
25/40만원 | ||
| DBD3-4 (악/상,하악) |
30/60만원 | ||
| 유지장치 | 타치과 fixed |
5만원 | 1치당 |
| 타치과 와이어찔림 |
1만원 | ||
| fixed (전악) |
15만원 | 타원 30만원 |
|
| c.r | 5만원 | 타원 15만원 |
|
| circum | 10만원 | 타원 20만원 |
|
| 임플란트 | 국산 (오스템) |
99만원 | 보철 변경시 구치부 5만원 전치부 10만원 |
| 외산 (스트라우만) |
145만원 | ||
| GBR | 30만원 | ||
| 상악동 거상술 (sinus life) |
50만원 | Crestal | |
| 100만원 | Lateral | ||
| 멤브레인 (menbrain) |
20만원 | 뼈이식 안들어 갈 시 |
|
| 보험임플란트 | 약40만원 | 보험 | |
| 일반/ 보철 치료 | |||
| 레진 | 구치부 1면 |
10만원 | 치료 부위 마다 상이함 (면당금액) |
| 구치부 2면 |
15만원 | ||
| 전치부 1면 |
15만원 | ||
| 전치부 2면 |
24만원 | ||
| 잇몸라인 (C.ab) |
8만원 | ||
| 앞니사이 (Diastema) |
20만원 | ||
| 전치부 파절 | 20만원 | ||
| 간단레진 볼/혀쪽 (B/Lingual picture) |
5만원 | ||
| 인레이 | 골드 인레이 | 35만원 | |
| 세라믹 인레이 | 30만원 | ||
| 세라믹 온레이 | 35만원 | ||
| 크라운 | 골드 크라운 | 55만원 | A(46%) |
| 지르코니아 | 50만원 | 구치부 | |
| 60만원 | 전치부 | ||
| PFM (겉:사기/안:금속) |
35만원 | 구치부 | |
| 45만원 | 전치부 | ||
| 가치 (pontic) |
cr비용 | ||
| 임플란트 타원 | 60만원 | cr만 | |
| 70만원 | 어버트 먼트 까지 |
||
| 라미네이트 | 60만원 (부가세 별도) | ||
| 코어 & post |
레진 core | 10만원 | |
| wall+core | 10만원 | ||
| post+core | 15만원 | ||
| 인접면우식 + rct한 전치부 core |
15만원 | ||
| 미백 | 자가미백 | 30만원 | 부가세 별도 |
| 전문가미백 | 30만원 | ||
| 전문가+자가미백 | 50만원 | ||
| 실활치미백 W.B | 10만원 | ||
| 치석제거 | 6만원 | ||