
안녕하세요.
연세고운미소치과 원장 임경섭입니다
점점 교정환자분도 중년층 환자분이 늘어가고 있는데요
오늘은 "발치, 비발치 부분교정 케이스"를
각각 보면서 궁금하신 부분들을
설명해 드리겠습니다.
발치 케이스) 입을 넣고 싶어요.
근데 잇몸이 안 좋아서 걱정입니다.

40대 중년의 여성분이셨고
돌출이 꽤 심하셨던 분입니다.
발치치료로 돌출을 해소하면 좋을 것 같은데요
환자분 걱정은 잇몸이 안 좋아서
할 수 있을지 걱정이셨습니다.

치아 상태를 보면 덧니도 심하고
잇몸도 많이 내려간 상태셨습니다
Q) 과연 교정을 하면 잇몸이 더 나빠질까요?
▼▼▼
그렇지 않습니다.
교정 자체가 잇몸을 좋아지게 하거나
나쁘게 하지 않습니다.
잇몸 건강은 관리의 문제입니다.
저희 병원에서는 교정하는 동안 오실 때마다
스켈링도 해드리고 필요하면 더 적극적인
잇몸치료를 통하여 잇몸 건강을 유지해 드립니다.

교정 후 옆모습입니다
환자분께서 말씀하셨던 게 아직도
기억에 남는데요. 나는 평생의 한이 돌출입이라
하셨는데요. 만족할 만큼 해소가 되었습니다.

치료 후 입안 사진입니다
덧니도 해결되었고 뻗어 보이던
치아 느낌도 많이 해소가 되었습니다.
치료 전후 엑스레이입니다.
전과 후 치아배열도 좋아졌고
잇몸 건강도 잘 유지되고 있음을 보여줍니다.
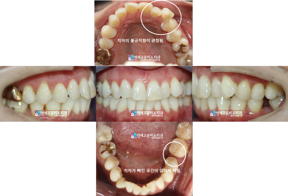
비발치 케이스) 덧니도 심하고 치아가 빠졌는데
공간이 없어져서 임플란트를 할 수가 없어요
근데 안 보이는 장치로 교정하고 싶어요.

40대 환자분이셨습니다
입은 돌출되지 않으셨고
덧니와 왼쪽 아래 치아 상실 후 공간이 없어져서
임플란트를 심을 수 없다는
이유로 내원하셨습니다.

덧니가 심하고 특히 왼쪽 아래는 공간상실이
너무 많이 진행돼서
임플란트를 할 수 없었습니다
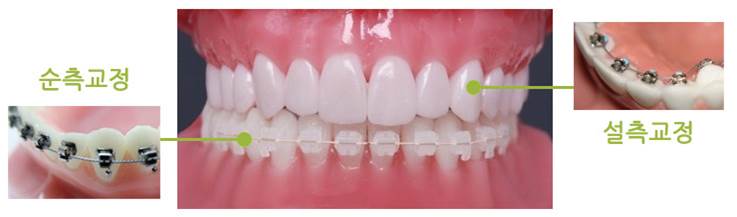
Q) 사회생활 때문에 보이면 신경이 쓰여서
안 보이는 장치는 없나요?
▼▼▼
가능하십니다

일단 투명교정장치가 있고요, 이것은 간단한
배열을 할 때 심직적인 이유로 하게 됩니다.

그다음으로는 설측 정치가 있는데요
이것은 정교한 치아 이동이 필요할 때
심미적인 이유로 하게 되는데요
위에 환자분은 정교한 이동이 필요했기
때문에 설측장치로 진행하였습니다.

교정 후 모습입니다
덧니도 해소하였고 임플란트 공간도 충분히
확보하여 옆 치아를 삭제하지 않고
마무리하였습니다.
기간은 2년 정도 소요되었습니다.

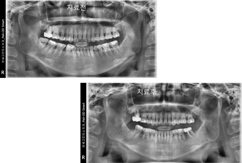
부분교정 케이스) 임플란트를 하고 싶은데 공간이 없어요
치아가 빠지고 나서 오래 방치되면
옆에 치아들이 그 공간으로 쓰러지게 됩니다.
공간이 너무 많이 없어지면
쓰러진 치아를 신경치료하고 씌운 다음에
임플란트를 심게 되는데요. 그렇게 되면
건강한 치아를 깎아야 되고
임플란트를 하더라도 음식물도 많이 끼게 됩니다.

위에 환자분도 공간이 너무 많이 소실되어
큰 어금니를 심을 수 없을 뿐만 아니라
작은 어금니 공간도 되지 않는 상태입니다.

이런 경우 간단한 부분교정으로
해결할 수 있습니다
사랑니를 발치하고 간단한 교정장치를
이용하여 쓰러진 두 번째 큰 어금니를 세웠습니다
기간은 6개월 정도 소요되었습니다
?
완성된 모습입니다
옆치가 원래 각도 모습으로
잘 세워져있고
임플란트도 옆 치아의 뿌리와 나란히
잘 위치해 있는 것을 확인할 수 있습니다.

교정에 대한 막연한 두려움 때문에
저런 경우에 그냥 건강한 치아도 신경치료하고
크라운 씌워서 하는 경우도 많은데요,
저런 부분교정은 보이지도 않고 불편감도
적기 때문에 절대 겁내실 필요 없습니다.^^
저희 대전연세고운미소치과는
연세대 교정과 출신 보건복지부 인증 교정전문의가
치료 계획부터 유지관리까지 책임져드립니다.
| 이전글 | 이른 나이에 꼭 해결해야 할 부정교합 2023.09.05 |
|---|---|
| 다음글 | 가장 많이 하는 케이스에 대해 2023.09.06 |
| 교정/임플란트 | |||
|---|---|---|---|
| 교정 | 교정진단 | 3만원 | |
| 1차교정 | 150만원 | 월비 3만원 |
|
| 2차교정 | total | ||
| 투명교정 | 310만원 | 월비 5만원 포함 |
|
| 인비절라인 전체(컴프리헨시브) |
650만원 | ||
| 인비절라인 (라이트) |
500만원 | ||
| 인비절라인 (퍼스트) |
370만원 | ||
| 메탈 브라켓 | 380만원 | ||
| 세라믹 브라켓 | 400만원 | ||
| 클리피M | 430만원 | ||
| 클리피C | 450만원 | ||
| S-line | 500만원 | ||
| 콤비교정 | 650만원 | ||
| 7-7(클리피씨) 한 악 |
280만원 | ||
| 7-7(S-line) 한 악 |
300만원 | ||
| 3-3 상,하악 |
250만원 | ||
| 3-3 한 악 |
160만원 | ||
| 악궁확장장치 (RPE) |
35만원 | ||
| 보철교정 | 70만원 | ||
| DBD3-3 (악/상,하악) |
25/40만원 | ||
| DBD3-4 (악/상,하악) |
30/60만원 | ||
| 유지장치 | 타치과 fixed |
5만원 | 1치당 |
| 타치과 와이어찔림 |
1만원 | ||
| fixed (전악) |
15만원 | 타원 30만원 |
|
| c.r | 5만원 | 타원 15만원 |
|
| circum | 10만원 | 타원 20만원 |
|
| 임플란트 | 국산 (오스템) |
99만원 | 보철 변경시 구치부 5만원 전치부 10만원 |
| 외산 (스트라우만) |
145만원 | ||
| GBR | 30만원 | ||
| 상악동 거상술 (sinus life) |
50만원 | Crestal | |
| 100만원 | Lateral | ||
| 멤브레인 (menbrain) |
20만원 | 뼈이식 안들어 갈 시 |
|
| 보험임플란트 | 약40만원 | 보험 | |
| 일반/ 보철 치료 | |||
| 레진 | 구치부 1면 |
10만원 | 치료 부위 마다 상이함 (면당금액) |
| 구치부 2면 |
15만원 | ||
| 전치부 1면 |
15만원 | ||
| 전치부 2면 |
24만원 | ||
| 잇몸라인 (C.ab) |
8만원 | ||
| 앞니사이 (Diastema) |
20만원 | ||
| 전치부 파절 | 20만원 | ||
| 간단레진 볼/혀쪽 (B/Lingual picture) |
5만원 | ||
| 인레이 | 골드 인레이 | 35만원 | |
| 세라믹 인레이 | 30만원 | ||
| 세라믹 온레이 | 35만원 | ||
| 크라운 | 골드 크라운 | 55만원 | A(46%) |
| 지르코니아 | 50만원 | 구치부 | |
| 60만원 | 전치부 | ||
| PFM (겉:사기/안:금속) |
35만원 | 구치부 | |
| 45만원 | 전치부 | ||
| 가치 (pontic) |
cr비용 | ||
| 임플란트 타원 | 60만원 | cr만 | |
| 70만원 | 어버트 먼트 까지 |
||
| 라미네이트 | 60만원 (부가세 별도) | ||
| 코어 & post |
레진 core | 10만원 | |
| wall+core | 10만원 | ||
| post+core | 15만원 | ||
| 인접면우식 + rct한 전치부 core |
15만원 | ||
| 미백 | 자가미백 | 30만원 | 부가세 별도 |
| 전문가미백 | 30만원 | ||
| 전문가+자가미백 | 50만원 | ||
| 실활치미백 W.B | 10만원 | ||
| 치석제거 | 6만원 | ||