
안녕하세요.
연세고운미소치과 원장 임경섭입니다.
오늘은 대전부분교정 연세고운미소치과에서
가장 많이 하시는 케이스별로 설명드리도록 하겠습니다
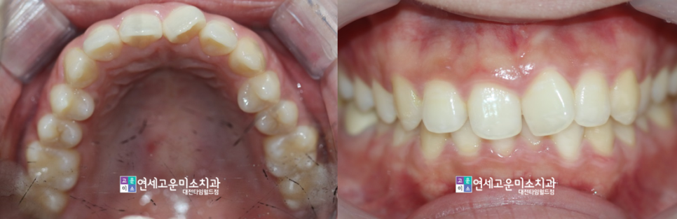
case1-1 ) 앞니만 불규칙해요


왼쪽 위에 첫 번째 앞니가 회전이
되어 있고 이것만 교정 받고 싶어서 오셨습니다
Q) 그렇다면 부분교정은 아무 때나 가능할까?
▼▼▼
제일 중요한 것은 하고 나서
유지가 잘될 수 있는지 입니다.
그러기 위해서는 윗니가 아랫니를 깊게 물리는
과개교합의 경우에는 부분교정은
되도록 안 하는 것이 좋습니다
▼▼▼
두 번째는 치아를 배열하여 수 있는 공간이 어느 정도
부족한지를 판단해서 부분교정 시작 여부를 결정합니다.
위에 환자분 케이스도 두 가지 요건을 모두 충족하였기에
부분교정으로 훌륭히 마무리가 되었습니다.
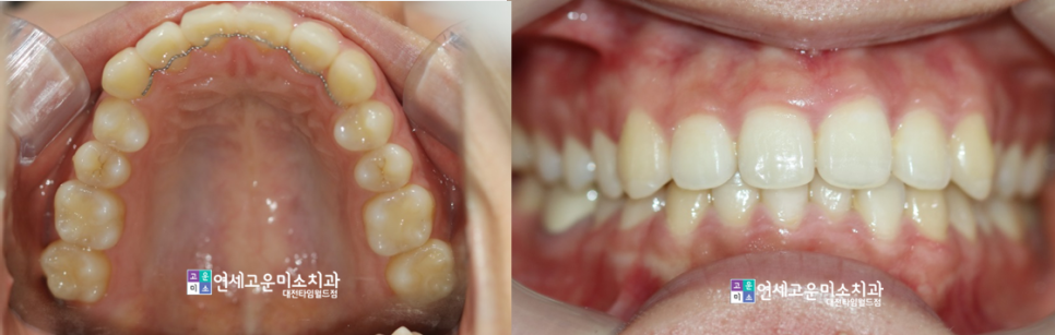
case1-2) 앞니가 삐뚤어요


위에 환자분과 비슷한 케이스고
부분교정으로 훌륭히 마무리가 되었습니다
보통 부분교정의 경우 기간이
6개월에서 1년 정도 소요됩니다.
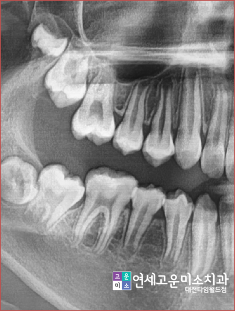
case2) 임플란트를 심어야 되는데 공간이 없어요

치아가 상실되고 나고 시간이 오래 지나면
위에 엑스레이처럼 옆에 치아가 그 공간으로 쓰러지게 됩니다.
저 상태에서는 임플란트를 할 수 없기 때문에
교정을 하지 않는다면
쓰러진 치아를 신경치료를 하고 씌운 뒤
임플란트를 하게 됩니다.
-->하지만 이렇게 치료를 하면
건전한 치아를 삭제해야 하는 단점이 생기고
쓰러진 채로 임플란트를 하기 때문에
음식물도 잘 낍니다.

이런 경우 간단한 부분교정을 통해서
쓰러진 치아를 세우고
공간을 확보한 후
임플란트를 심을 수 있습니다.
전혀 보이지도 않고 기간도 오래 걸리지 않습니다.

완성된 모습입니다
쓰러진 치아도 세워졌고
임플란트도 옆의 치아들 뿌리와 평행하게
심을 수 있게 되어 저작에도 유리한 상황입니다.

일련의 치료 과정입니다
막연한 교정에 대한 두려움 때문에
이런 경우 신경치료를 하고 씌우시는 경우가
진짜 많습니다.
시간을 조금만 투자한다면 소중한 치아를
보존하면서 임플란트를 심을 수 있습니다.
case3) 영구치가 못 올라와요

어린이 환자분들 경우에
영구치가 못 올라오는 경우가 종종 있습니다
저렇게 되는 대표적인 이유가 "이소맹출"이라고
해서 영구치가 잘못된 위치로 맹출 하여 다른 영구치가
맹출 하는 것을 방해하는 경우입니다.
위에 엑스레이도 보면 큰 어금니가 앞으로 쓰러져서
나오면서 앞에 작은 어금니 나오는 공간을 점유했습니다.

이런 경우 그냥 방치가 되면 공간은
점점 없어지게 되고, 결국에는
발치교정을 해야 되는 경우가 발생합니다.
이 환자분은 간단하게 저 부위만 부분교정을 해서
앞으로 쓰러진 영구치를 원래 제 위치로 보내고
작은 어금니가 날 공간을 확보하는 작업을 시작하였습니다.

공간은 성공적으로 확보가 되었고
작은 어금니도 제 자리에 잘 나온 것을
확인할 수 있습니다.
기간은 1년 정도 소요되었습니다.
다양한 부분교정 케이스를 보여드리며
설명드렸습니다.
부분교정 케이스의 성공 열쇠는 부분교정으로
가능한지 아닌지 판별할 수 있는 능력이
중요합니다
저희 연세고운미소치과는
연세대 교정과 출신 보건복지부 인증 전문의가
치료 계획부터 유지관리까지 책임져드립니다.
| 이전글 | 발치, 비발치 부분교정 케이스 2023.09.06 |
|---|---|
| 다음글 | 성인 치아교정에 대한 오해와 진실 2023.11.08 |
| 교정/임플란트 | |||
|---|---|---|---|
| 교정 | 교정진단 | 3만원 | |
| 1차교정 | 150만원 | 월비 3만원 |
|
| 2차교정 | total | ||
| 투명교정 | 310만원 | 월비 5만원 포함 |
|
| 인비절라인 전체(컴프리헨시브) |
650만원 | ||
| 인비절라인 (라이트) |
500만원 | ||
| 인비절라인 (퍼스트) |
370만원 | ||
| 메탈 브라켓 | 380만원 | ||
| 세라믹 브라켓 | 400만원 | ||
| 클리피M | 430만원 | ||
| 클리피C | 450만원 | ||
| S-line | 500만원 | ||
| 콤비교정 | 650만원 | ||
| 7-7(클리피씨) 한 악 |
280만원 | ||
| 7-7(S-line) 한 악 |
300만원 | ||
| 3-3 상,하악 |
250만원 | ||
| 3-3 한 악 |
160만원 | ||
| 악궁확장장치 (RPE) |
35만원 | ||
| 보철교정 | 70만원 | ||
| DBD3-3 (악/상,하악) |
25/40만원 | ||
| DBD3-4 (악/상,하악) |
30/60만원 | ||
| 유지장치 | 타치과 fixed |
5만원 | 1치당 |
| 타치과 와이어찔림 |
1만원 | ||
| fixed (전악) |
15만원 | 타원 30만원 |
|
| c.r | 5만원 | 타원 15만원 |
|
| circum | 10만원 | 타원 20만원 |
|
| 임플란트 | 국산 (오스템) |
99만원 | 보철 변경시 구치부 5만원 전치부 10만원 |
| 외산 (스트라우만) |
145만원 | ||
| GBR | 30만원 | ||
| 상악동 거상술 (sinus life) |
50만원 | Crestal | |
| 100만원 | Lateral | ||
| 멤브레인 (menbrain) |
20만원 | 뼈이식 안들어 갈 시 |
|
| 보험임플란트 | 약40만원 | 보험 | |
| 일반/ 보철 치료 | |||
| 레진 | 구치부 1면 |
10만원 | 치료 부위 마다 상이함 (면당금액) |
| 구치부 2면 |
15만원 | ||
| 전치부 1면 |
15만원 | ||
| 전치부 2면 |
24만원 | ||
| 잇몸라인 (C.ab) |
8만원 | ||
| 앞니사이 (Diastema) |
20만원 | ||
| 전치부 파절 | 20만원 | ||
| 간단레진 볼/혀쪽 (B/Lingual picture) |
5만원 | ||
| 인레이 | 골드 인레이 | 35만원 | |
| 세라믹 인레이 | 30만원 | ||
| 세라믹 온레이 | 35만원 | ||
| 크라운 | 골드 크라운 | 55만원 | A(46%) |
| 지르코니아 | 50만원 | 구치부 | |
| 60만원 | 전치부 | ||
| PFM (겉:사기/안:금속) |
35만원 | 구치부 | |
| 45만원 | 전치부 | ||
| 가치 (pontic) |
cr비용 | ||
| 임플란트 타원 | 60만원 | cr만 | |
| 70만원 | 어버트 먼트 까지 |
||
| 라미네이트 | 60만원 (부가세 별도) | ||
| 코어 & post |
레진 core | 10만원 | |
| wall+core | 10만원 | ||
| post+core | 15만원 | ||
| 인접면우식 + rct한 전치부 core |
15만원 | ||
| 미백 | 자가미백 | 30만원 | 부가세 별도 |
| 전문가미백 | 30만원 | ||
| 전문가+자가미백 | 50만원 | ||
| 실활치미백 W.B | 10만원 | ||
| 치석제거 | 6만원 | ||