
안녕하세요.
대전연세고운미소치과
원장 임경섭입니다
오늘은 성인교정에 대한 제 생각을
말씀드리고자 합니다.
연세가 있으신 교정환자 분들이
점점 증가세에 접어들고 있습니다.
그런 분들께서는 공통적으로
"이 나이에 교정해도 될까요?"
라며 걱정하곤 하십니다.
오늘은 실제 케이스를 보면서
임원장의 생각을 정리해보았습니다.
(잇몸이 좋은 상태에서 이뤄진
성인교정 케이스가 아닙니다.
잇몸도 별로 좋지 못한 경우에
교정을 진행해도 되는지에 대해
치료사례를 준비해보았습니다.)

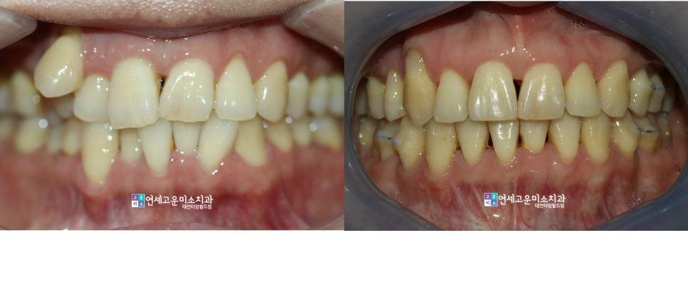
40대 중년 여성분의
치아 상태
예전부터 교정하고 싶었는데 못하시고
이제 용기내서 시작하고자 오셨습니다.
1. 배열이 안좋아서 치아 관리가 힘들고
2. 위아래 앞니가 세게 닿아서(외상성교합)
잇몸이 점점 내려가는 상황입니다.

중등도의 잇몸뼈 소실도 보이고
특히 위에 사랑니 부위 앞치아 뒷쪽
잇몸뼈가 많이 소실되었습니다.
환자분께
설명드릴수 있는
치료방법
1. 지금까지 이렇게 살아왔으니
치아를 쓸때까지 쓰다가
상태가 악화되면 임플란트 진행
2. 교정으로 치아를 재배열하고
정상적인 교합을 만들어서
더 나빠지지 않는 환경을 만듦
어떤 게 더 합리적일까요?
지금 이대로 40년간 방치되서
저런 잇몸상태가 되었는데
(내버려두면 악화될 게 뻔한 상황)
교정이 잇몸에 좋지 못하다는
막연한 소문 떄문에 방치하는 것이
과연 바람직한 결정일까요?
저는 부정교합을 적극적으로 치료해서
더 잘 관리할 수 있게 만들어주고
더 예쁜 치열상태로 바꿔주는 것이
삶의 질에 더 좋다고 생각합니다.

치열 내 공간을 확보하고
돌출을 해소하고자
소구치 발치 후 교정 진행
환자분께서는 처음 시작하실때
교정치료에 대해 예민하셨습니다.
하지만 완치 이후에 밝은 미소로
치료를 마무리 할 수 있었습니다.

교정후 엑스레이 사진입니다.
잇몸뼈가 망가져나요?
저는 확신합니다.
교정이 끝난 이후에는
똑같이 관리한다고 하더라도
본인의 자연치아를 훨씬 더
오래 사용할 수 있게 되었음을요^^

치아배열이 가지런해지면서
구강을 관리하기도 편해졌고
앞니끼리 세게 닿는 외상성교합도
훌륭하게 제거해주었습니다.
그러면서 잇몸을 나쁘게 만드는
환경적인 요인을 해소하였습니다.

교합도 교정하기 전보다
훨씬 안정적으로 형성됐습니다.
위 사진을 보면 교정 후에
바깥으로 부착한 와이어가 보이는데,
저것은 치아 사이가 벌어지지 않도록
조치한 추가적인 유지장치입니다.
성인교정의 경우,
입이 너무 들어가는 것은
외관상 좋지 않기 때문에
두번째 작은 어금니를 뽑는 경우가
좀 더 많은 편입니다.
이럴 때는 바깥에 유지장치를 추가하여
부착하는 것이 장기적 측면에서
유지관리에 많은 도움을 줍니다.

우측 X-RAY비교사진입니다.
상악 오른쪽 사랑니도 발치하여
큰 어금니가 나빠지지 않게 만들고
치아를 가지런하게 배열하면서
잇몸뼈의 높이도 이전과 다름없이
유지되고 있음을 확인할 수 있습니다.

좌측 엑스레이 비교입니다.
앞으로도 잘 관리해드려서
자연치아를 잘 유지할 수 있게
만들어드릴수 있을 것 같습니다^^
"나이 들었으니 그냥 살자"
라고 생각하시는 것보다는
"지금이라도 늦지 않았다"
라며 교정치료에 도전해보시는 것이
더 나은 선택일 수 있습니다.
지금까지
치과교정과 전문의
임경섭 원장이었습니다.
| 이전글 | 돌출입수술(ASO) 이런 점을 고려해야 2024.07.05 |
|---|---|
| 다음글 | 덧니교정, 발치가 정답은 아니에요 2024.12.05 |
| 교정/임플란트 | |||
|---|---|---|---|
| 교정 | 교정진단 | 3만원 | |
| 1차교정 | 150만원 | 월비 3만원 |
|
| 2차교정 | total | ||
| 투명교정 | 310만원 | 월비 5만원 포함 |
|
| 인비절라인 전체(컴프리헨시브) |
650만원 | ||
| 인비절라인 (라이트) |
500만원 | ||
| 인비절라인 (퍼스트) |
370만원 | ||
| 메탈 브라켓 | 380만원 | ||
| 세라믹 브라켓 | 400만원 | ||
| 클리피M | 430만원 | ||
| 클리피C | 450만원 | ||
| S-line | 500만원 | ||
| 콤비교정 | 650만원 | ||
| 7-7(클리피씨) 한 악 |
280만원 | ||
| 7-7(S-line) 한 악 |
300만원 | ||
| 3-3 상,하악 |
250만원 | ||
| 3-3 한 악 |
160만원 | ||
| 악궁확장장치 (RPE) |
35만원 | ||
| 보철교정 | 70만원 | ||
| DBD3-3 (악/상,하악) |
25/40만원 | ||
| DBD3-4 (악/상,하악) |
30/60만원 | ||
| 유지장치 | 타치과 fixed |
5만원 | 1치당 |
| 타치과 와이어찔림 |
1만원 | ||
| fixed (전악) |
15만원 | 타원 30만원 |
|
| c.r | 5만원 | 타원 15만원 |
|
| circum | 10만원 | 타원 20만원 |
|
| 임플란트 | 국산 (오스템) |
99만원 | 보철 변경시 구치부 5만원 전치부 10만원 |
| 외산 (스트라우만) |
145만원 | ||
| GBR | 30만원 | ||
| 상악동 거상술 (sinus life) |
50만원 | Crestal | |
| 100만원 | Lateral | ||
| 멤브레인 (menbrain) |
20만원 | 뼈이식 안들어 갈 시 |
|
| 보험임플란트 | 약40만원 | 보험 | |
| 일반/ 보철 치료 | |||
| 레진 | 구치부 1면 |
10만원 | 치료 부위 마다 상이함 (면당금액) |
| 구치부 2면 |
15만원 | ||
| 전치부 1면 |
15만원 | ||
| 전치부 2면 |
24만원 | ||
| 잇몸라인 (C.ab) |
8만원 | ||
| 앞니사이 (Diastema) |
20만원 | ||
| 전치부 파절 | 20만원 | ||
| 간단레진 볼/혀쪽 (B/Lingual picture) |
5만원 | ||
| 인레이 | 골드 인레이 | 35만원 | |
| 세라믹 인레이 | 30만원 | ||
| 세라믹 온레이 | 35만원 | ||
| 크라운 | 골드 크라운 | 55만원 | A(46%) |
| 지르코니아 | 50만원 | 구치부 | |
| 60만원 | 전치부 | ||
| PFM (겉:사기/안:금속) |
35만원 | 구치부 | |
| 45만원 | 전치부 | ||
| 가치 (pontic) |
cr비용 | ||
| 임플란트 타원 | 60만원 | cr만 | |
| 70만원 | 어버트 먼트 까지 |
||
| 라미네이트 | 60만원 (부가세 별도) | ||
| 코어 & post |
레진 core | 10만원 | |
| wall+core | 10만원 | ||
| post+core | 15만원 | ||
| 인접면우식 + rct한 전치부 core |
15만원 | ||
| 미백 | 자가미백 | 30만원 | 부가세 별도 |
| 전문가미백 | 30만원 | ||
| 전문가+자가미백 | 50만원 | ||
| 실활치미백 W.B | 10만원 | ||
| 치석제거 | 6만원 | ||