
안녕하세요
대전연세고운미소치과
원장 임경섭입니다.
비발치교정은
말 그대로 영구치를 뽑지 않고
이루어지는 교정을 의미합니다.
그럼 비발치로 교정할 떄는
공간확보를 위해서
어떤 방법을 쓸수 있을까요?
크게 다음 3가지가 있습니다.
1) 악궁확장
2) 구치부 원심이동
(어금니를 뒤로 밀어줌)
3) 치간삭제
이런 방법등을 이용해서
적절한 공간을 확보한 후
치아를 배열할 수 있습니다.
실제 케이스를 살펴보면서
성공적인 비발치 교정을 위해
어떤 고민을 했는지 한번 보시죠.

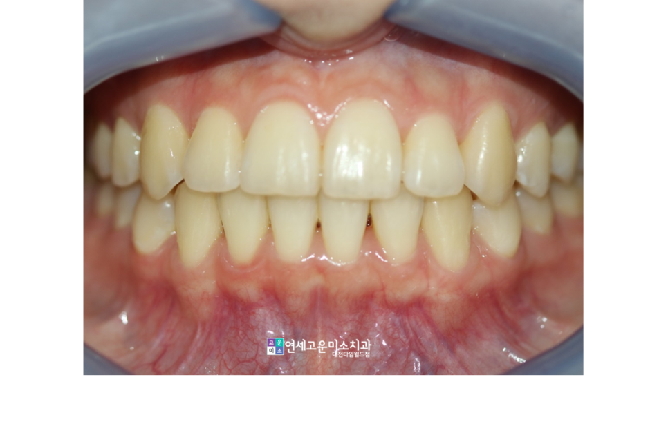
<앞니가 불규칙해요>
앞니가 불규칙한 상태로써,
상악 좌측과 하악 오른쪽의
치아들이 불규칙한 정도가
심한 편임을 알 수 있습니다.
덧니가 심한 쪽은 그쪽으로
공간 소실이 많이 일어난 것입니다.
그래서 윗니는 오른쪽으로
아랫니는 왼쪽으로 치우쳐졌고,
중심선이 어긋나게 되었습니다.
(빨간색으로 표시한 부분)

비발치교정이
성공하는 핵심요소
이런 경우 덧니를 무작정 빠르게
해결하려고 하기 보다는
먼저 덧니를 배열하기 위해서
공간을 확보해주어야 합니다.
공간을 만들어내는 데에 있어서
어떤 방법을 활용할 지에 대해서는
전반적인 교합상태, 중심선, 외모 등
다양한 요소를 고려해야 합니다.
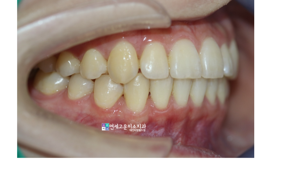
해당 환자분과 같은 경우에는
한쪽으로 치아가 많이 치우친 상태라
어금니를 뒤로 보내서 교합도 맞추고
어긋나 있는 중심선도 일치시켜주면서
덧니를 고르게 배열하기로 결정했습니다.

상악 좌측 두번째 앞니를 배열하고자
어금니를 뒤로 충분히 밀어주었으며,
그 옆에 앞니는 오른쪽으로 움직여서
적정 수준의 공간을 확보하였습니다.
이동 방향을 설정하는 데에 있어
중심선과 향후 교합을 고려했습니다.

하악에서는 오른쪽 앞니 두 개를
가지런한 상태로 배열하기 위해서
어금니를 후방으로 이동시켜주면서
그 옆 앞니를 왼쪽으로 보냈습니다.

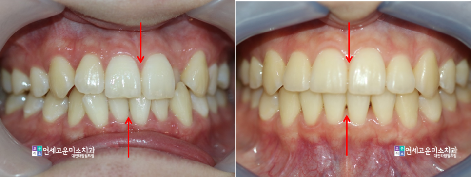
치료가 끝난 이후의 모습입니다.
완치에 이르기까지는 대략
2년 정도가 소요되었습니다
(2021. 3. ~ 2023. 1.)
단순하게 앞니만 배열하기보다는
전반적인 부정교합을 어떻게
정상적으로 만들 것인가에 대해
충분히 고민하고 치료해야 합니다.

치료 후 옆모습입니다
긴밀한 교합이 형성됐습니다.

치아의 뿌리 부분의 평행도도
상당히 좋아 보입니다.



전후를 비교해보았습니다.
배열이 잘 마무리되었으며
중심선도 정확히 일치시켰습니다.
교정이 끝나고 나서 치아가 아주
건강해 보이는 느낌입니다.
저는 교정 후 이런 모습이 좋습니다^^

윗니가 아랫니 안으로 들어가면
불필요한 힘을 많이 받게 되면서
외상성교합으로 이어집니다.
이러면 치아를 오랫동안 사용하기가
힘들어질 수 있다고 알려졌습니다.
그렇기 때문에 심미적 개선을 넘어
장기적으로 치아를 오래 사용하도록
만들어주는 교정이 필요합니다.

이건 약간 전문적인 부분이지만
상악 앞니 4개가 많이 내려와서
웃을 때 잇몸이 노출되는 모습도
치료 전에 함께 확인되었습니다.
교정 후 치아 4곳의 높이를
적절한 수준으로 맞춰주었습니다.
그러면서 웃을 때 치아나 잇몸이
드러나는 정도가 개선되었습니다.


이렇게 내용을 보신 환자분들께서
무조건 비발치교정이 좋다는 생각을
갖게 되실 것 같아서 첨언합니다.
입이 나오지 않았거나,
치아를 배열할 공간 부족이
심하지 않은 경우에 대해서는
비발치 교정을 시도하는 것이 좋습니다.
하지만 돌출입이 심하거나,
치열 내에 공간 부족 심하다면
발치교정을 진행하는 것이
심미적으로나 기능적으로 좀 더
나을 수 있음을 말씀 드립니다.
| 이전글 | 성인 이후 교정치료, 포기하지 마세요 2024.12.03 |
|---|---|
| 다음글 | 어린이 1차교정, 인비절라인 퍼스트로! 2025.01.15 |
| 교정/임플란트 | |||
|---|---|---|---|
| 교정 | 교정진단 | 3만원 | |
| 1차교정 | 150만원 | 월비 3만원 |
|
| 2차교정 | total | ||
| 투명교정 | 310만원 | 월비 5만원 포함 |
|
| 인비절라인 전체(컴프리헨시브) |
650만원 | ||
| 인비절라인 (라이트) |
500만원 | ||
| 인비절라인 (퍼스트) |
370만원 | ||
| 메탈 브라켓 | 380만원 | ||
| 세라믹 브라켓 | 400만원 | ||
| 클리피M | 430만원 | ||
| 클리피C | 450만원 | ||
| S-line | 500만원 | ||
| 콤비교정 | 650만원 | ||
| 7-7(클리피씨) 한 악 |
280만원 | ||
| 7-7(S-line) 한 악 |
300만원 | ||
| 3-3 상,하악 |
250만원 | ||
| 3-3 한 악 |
160만원 | ||
| 악궁확장장치 (RPE) |
35만원 | ||
| 보철교정 | 70만원 | ||
| DBD3-3 (악/상,하악) |
25/40만원 | ||
| DBD3-4 (악/상,하악) |
30/60만원 | ||
| 유지장치 | 타치과 fixed |
5만원 | 1치당 |
| 타치과 와이어찔림 |
1만원 | ||
| fixed (전악) |
15만원 | 타원 30만원 |
|
| c.r | 5만원 | 타원 15만원 |
|
| circum | 10만원 | 타원 20만원 |
|
| 임플란트 | 국산 (오스템) |
99만원 | 보철 변경시 구치부 5만원 전치부 10만원 |
| 외산 (스트라우만) |
145만원 | ||
| GBR | 30만원 | ||
| 상악동 거상술 (sinus life) |
50만원 | Crestal | |
| 100만원 | Lateral | ||
| 멤브레인 (menbrain) |
20만원 | 뼈이식 안들어 갈 시 |
|
| 보험임플란트 | 약40만원 | 보험 | |
| 일반/ 보철 치료 | |||
| 레진 | 구치부 1면 |
10만원 | 치료 부위 마다 상이함 (면당금액) |
| 구치부 2면 |
15만원 | ||
| 전치부 1면 |
15만원 | ||
| 전치부 2면 |
24만원 | ||
| 잇몸라인 (C.ab) |
8만원 | ||
| 앞니사이 (Diastema) |
20만원 | ||
| 전치부 파절 | 20만원 | ||
| 간단레진 볼/혀쪽 (B/Lingual picture) |
5만원 | ||
| 인레이 | 골드 인레이 | 35만원 | |
| 세라믹 인레이 | 30만원 | ||
| 세라믹 온레이 | 35만원 | ||
| 크라운 | 골드 크라운 | 55만원 | A(46%) |
| 지르코니아 | 50만원 | 구치부 | |
| 60만원 | 전치부 | ||
| PFM (겉:사기/안:금속) |
35만원 | 구치부 | |
| 45만원 | 전치부 | ||
| 가치 (pontic) |
cr비용 | ||
| 임플란트 타원 | 60만원 | cr만 | |
| 70만원 | 어버트 먼트 까지 |
||
| 라미네이트 | 60만원 (부가세 별도) | ||
| 코어 & post |
레진 core | 10만원 | |
| wall+core | 10만원 | ||
| post+core | 15만원 | ||
| 인접면우식 + rct한 전치부 core |
15만원 | ||
| 미백 | 자가미백 | 30만원 | 부가세 별도 |
| 전문가미백 | 30만원 | ||
| 전문가+자가미백 | 50만원 | ||
| 실활치미백 W.B | 10만원 | ||
| 치석제거 | 6만원 | ||