안녕하세요.
치과교정과 전문의
임경섭 원장입니다.
일반적인 양악수술 과정은
"선교정->수술->수술후 교정"의 과정을
거쳐서 진행하게 됩니다
그렇다면 수술하는데
왜 선교정이 필요할까요?
여기에
치성보상작용(dental compensation)이라는
개념이 필요합니다
어려워하지 마세요
자세하게 설명드리겠습니다.
─────────────────────
치성 보상작용이란?
골격적인 부조화(예, 주걱턱, 비대칭 등)가
있음에도 불구하고,
치아가 그 차이를 어느 정도 보상해서
골격적인 차이에 비해
치아 차이가 덜 나 보이는 현상.
예를 들면, 하악이 전방으로
돌출된 주걱턱 환자의 경우,
위 앞니는 앞으로,
아래 앞니는 뒤로 기울어져 있어서
실제 교합 상태는 골격적 차이보다
덜 심하게 보일 수 있습니다.

양악수술 전 교정이
필요한 이유?
양악수술을 통해 진짜
골격 문제를 해결하려면
수술전 교정으로
치아들을 "제자리"로
되돌리는 것이 중요합니다.
수술전 교정으로
치성보상작용을 해소해야
수술시 원하는 만큼의
골격적 이동이 가능하며,
수술 후에도 이상적인 교합과
안모개선이 이루어집니다.

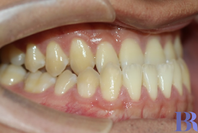
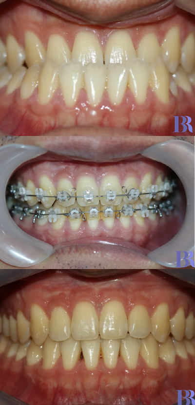
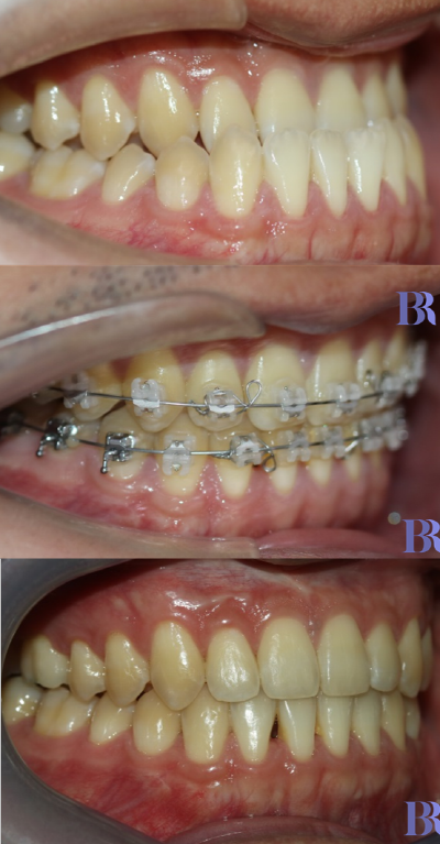
하악 전돌을 주소로 내원한
20대 환자분의
양악수술 치료과정입니다.

외모상 하악전돌(주걱턱)이
명확히 나타나고 있습니다

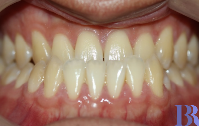
초진 입안사진입니다
치아가 거꾸로 물리고 있으나
실제 골격이 나온것에 비해서는
덜 나와 보이네요.
양악수술 대상자의 전형적인
치아 상태를 볼수 있습니다.

치성보상작용으로 인해
실제 골격에 비해 치아 간격이
좁아 보입니다
아랫니와 윗니 앞뒤 차이가
외모에 비해 심하지는 않습니다

선교정의 목표는 수술전 교정을 통해
치성보상작용을 제거하고
골격차이만큼 치아 간격을
만들어 주는 것입니다.
외모 차이만큼 치아 앞뒤차이를
만들어주는 것이
술전교정이라 하겠습니다.

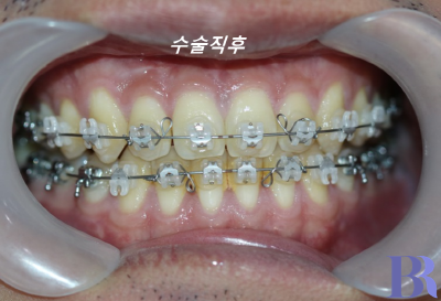
1년정도의 술전교정을 마친 후
수술직후 모습입니다.
아래턱이 많이 들어갔고
얼굴이 잛아졌습니다
(보통 주걱턱 환자분들의 경우
얼굴이 긴 경우가 많습니다)
양악수술을 통해
아래턱이 안으로 들어가고,
긴 얼굴이 짧아지며
외모적인 변화가
바람직하게 나타났습니다

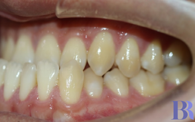
수술 직후 치아 모습입니다
반대교합이 잘 해소가 되었네요
교합도 안정적으로 맞물립니다.


교합도 아주 긴밀하게
수술이 잘되었습니다

완전히 치료가 종료된후
측면사진입니다.
붓기도 빠지고 훤씬 자연스러운
안모가 되었습니다


치료 종료 후 입안을
촬영한 사진입니다
심미적일 뿐만 아니라
초진 시 보다 훨씬 더
건강해 보이지 않나요?

초진->수술직후->치료종료후
안모사집입니다.
이렇게 충분히 아래턱을
넣을수 있었던 이유은
수술 전, 치성보상작용을 충분히
개선하였기 때문입니다

초진->수술직후->치료완료후
구내사진입니다.
정말 치료가 잘되었죠?
양악수술 전후 변화를
한눈에 보실 수 있습니다.

*선교정은 단점?
선교정을 진행하면서
아랫니는 앞으로, 윗니는 뒤로
움직여야 하다 보니
수술 전에는 오히려 주걱턱이
더 심해 보일 수 있습니다.

그래서 선수술교정이 등장했어요.
선교정 없이 수술 먼저 하고
턱을 우선 뒤로 넣어줌으로써
주걱턱을 개선하는 방식입니다.
선교정->수술->술후 교정이 아니라
바로 선수술->후교정
이런 순서로 진행이 됩니다.
이 방식은
빠른 안모개선, 교정기간 단축
등의 장점이 있는데요.
양악수술을 고려하는 분들에게
그 매력이 강조되고 있습니다.
하지만 모든 분들에게
일관적으로 적용할 수 없고
전문의와의 진단과 상담 후
가능한 케이스인지를
확실하게 따져보아야 합니다.
| 이전글 | 중년 이후의 치아교정, 인비절라인으로! 2025.07.22 |
|---|---|
| 다음글 | 성인 치아교정, 발치개수가 다른 이유? 2025.09.17 |
| 교정/임플란트 | |||
|---|---|---|---|
| 교정 | 교정진단 | 3만원 | |
| 1차교정 | 150만원 | 월비 3만원 |
|
| 2차교정 | total | ||
| 투명교정 | 310만원 | 월비 5만원 포함 |
|
| 인비절라인 전체(컴프리헨시브) |
650만원 | ||
| 인비절라인 (라이트) |
500만원 | ||
| 인비절라인 (퍼스트) |
370만원 | ||
| 메탈 브라켓 | 380만원 | ||
| 세라믹 브라켓 | 400만원 | ||
| 클리피M | 430만원 | ||
| 클리피C | 450만원 | ||
| S-line | 500만원 | ||
| 콤비교정 | 650만원 | ||
| 7-7(클리피씨) 한 악 |
280만원 | ||
| 7-7(S-line) 한 악 |
300만원 | ||
| 3-3 상,하악 |
250만원 | ||
| 3-3 한 악 |
160만원 | ||
| 악궁확장장치 (RPE) |
35만원 | ||
| 보철교정 | 70만원 | ||
| DBD3-3 (악/상,하악) |
25/40만원 | ||
| DBD3-4 (악/상,하악) |
30/60만원 | ||
| 유지장치 | 타치과 fixed |
5만원 | 1치당 |
| 타치과 와이어찔림 |
1만원 | ||
| fixed (전악) |
15만원 | 타원 30만원 |
|
| c.r | 5만원 | 타원 15만원 |
|
| circum | 10만원 | 타원 20만원 |
|
| 임플란트 | 국산 (오스템) |
99만원 | 보철 변경시 구치부 5만원 전치부 10만원 |
| 외산 (스트라우만) |
145만원 | ||
| GBR | 30만원 | ||
| 상악동 거상술 (sinus life) |
50만원 | Crestal | |
| 100만원 | Lateral | ||
| 멤브레인 (menbrain) |
20만원 | 뼈이식 안들어 갈 시 |
|
| 보험임플란트 | 약40만원 | 보험 | |
| 일반/ 보철 치료 | |||
| 레진 | 구치부 1면 |
10만원 | 치료 부위 마다 상이함 (면당금액) |
| 구치부 2면 |
15만원 | ||
| 전치부 1면 |
15만원 | ||
| 전치부 2면 |
24만원 | ||
| 잇몸라인 (C.ab) |
8만원 | ||
| 앞니사이 (Diastema) |
20만원 | ||
| 전치부 파절 | 20만원 | ||
| 간단레진 볼/혀쪽 (B/Lingual picture) |
5만원 | ||
| 인레이 | 골드 인레이 | 35만원 | |
| 세라믹 인레이 | 30만원 | ||
| 세라믹 온레이 | 35만원 | ||
| 크라운 | 골드 크라운 | 55만원 | A(46%) |
| 지르코니아 | 50만원 | 구치부 | |
| 60만원 | 전치부 | ||
| PFM (겉:사기/안:금속) |
35만원 | 구치부 | |
| 45만원 | 전치부 | ||
| 가치 (pontic) |
cr비용 | ||
| 임플란트 타원 | 60만원 | cr만 | |
| 70만원 | 어버트 먼트 까지 |
||
| 라미네이트 | 60만원 (부가세 별도) | ||
| 코어 & post |
레진 core | 10만원 | |
| wall+core | 10만원 | ||
| post+core | 15만원 | ||
| 인접면우식 + rct한 전치부 core |
15만원 | ||
| 미백 | 자가미백 | 30만원 | 부가세 별도 |
| 전문가미백 | 30만원 | ||
| 전문가+자가미백 | 50만원 | ||
| 실활치미백 W.B | 10만원 | ||
| 치석제거 | 6만원 | ||