안녕하세요
치과교정과 전문의
임경섭 원장입니다.
성인 치아교정을 위해
상담을 진행하다 보면
"작은 어금니 4개를
빼야 하는 경우도 있고,
2개만 빼는 경우도 있는데,
어떤 차이 때문에 그런가요?"
라는 질문을 자주 받습니다.
오늘은 이 질문에 대해,
실제 편측발치교정 케이스로
설명을 정리해보았습니다.

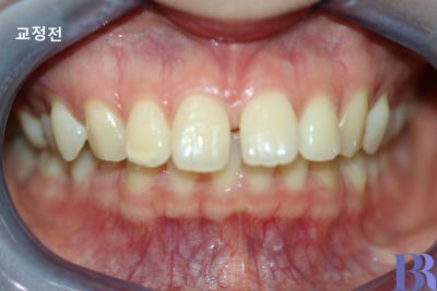
<발치교정 케이스>
윗니가 아랫니에 비해
앞으로 많이 나와있고,
입술이 돌출된 정도는
중간 가량으로보입니다.
입이 살짝 나와보이고
치아 사이 공간도 있어요.
│
치료계획
상악 제1소구치 2개 발치 후
(편측 발치 교정)
치간이개 및 과개교합 개선
장치 : 클리피씨 장치
기간 : 2년 6개월
상하악 양측 4개를
발치하지 않고,
상악 2개만 발치하는 경우를
편측발치라고 합니다.

과개교합 양상으로 인해
윗니가 아랫니를 깊게 덮고 있으며
그로 인해 위에 앞니
사이에 공간이 발생했네요.
그렇다면 어떤 경우에
4개를 빼지 않고 2개를 뺄까요?
윗니가 아랫니에 비해
현저히 앞으로 나와 있거나,
입술 돌출이 중간 정도로
심하지 않은 경우입니다.
즉 입술이 많이
나오지 않은 상태에서
윗니가 굉장히 아랫니에 비해
많이 앞으로 나온 경우에는
아래는 빼지 않고
위에만 빼는 것이 좋습니다
(편측발치교정이 더 적합하죠.)
그 이유는 아래까지 발치하면
윗니가 들어오는 양이
지나치게 많아지면서
입술이 너무 많이
들어가기 때문입니다.

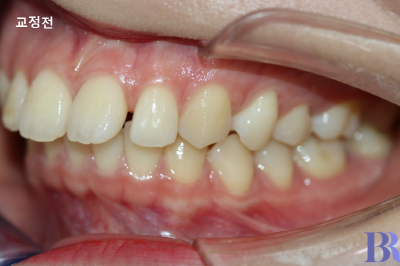
윗니와 아랫니 앞뒤차이가
심하게 나는 것을 볼수 있네요.
편측 발치케이스의 핵심은
입을 조화롭게 넣으면서
치아를 맞추는 데 있습니다.

보통 편측발치 케이스에서는
상악 제1소구치를 발치합니다.
하악 편측발치는 잘 시행하지 않는데,
왜냐하면 상악최후방 대구치에
맞물리는 치아가 없어지기 때문이죠.

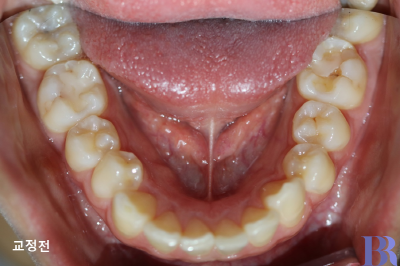
발치교정 : 하악 교정전 모습
상기의 환자분께서는
상악 제1소구치를 2개를
각각 발치하고 교정하였으며,
2년 6개월 정도 기간이 걸려서
최종적으로 마무리되었습니다.

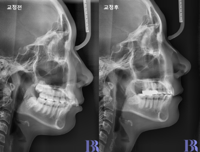
교정전후 옆모습 사진입니다.
입술라인이 과도하지 않고
자연스럽게 들어갔습니다
위 환자분 같은 경
아랫니까지 발치했다면
입술이 과하게 들어갔을겁니다.

윗니가 아랫니를 깊게 덮는
과개교합이 해결되었으며,
치아 사이 공간도 닫혔습니다.
이런 편측교정 케이스에서
가장 핵심적인 요소라면
과개교합(치아가 깊게 물린 상태)을
해결했다는 점에 있습니다.

교정 전후 옆모습입니다.
윗니와 아랫니 앞뒤 차이가
정상적으로 줄어들었고
교합도 긴밀하게 잘
맞는 것을 볼 수 있습니다.

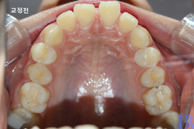
위에 사진은 교정 전후
윗니 모습을 비교한 것인데,
상악 제1 작은어금니가
발치된 것을 볼 수 있습니다.

아래치아 모습입니다.
아래치아는 발치없이 교정이
마무리됐음을 알 수 있습니다.
이처럼 교정은 정밀한 진단이
핵심적인 부분을 차지합니다.
단순치 치아만 보는 것이 아니라
전체적인 안모의 조화로움과
치아 교합, 기능까지 고려하여
좋은 결과를 이끌어내야 합니다.
| 이전글 | 양악수술 과정을 알아봅시다 2025.09.17 |
|---|---|
| 다음글 | 사랑니는 원래 '어금니'입니다 2025.10.15 |
| 교정/임플란트 | |||
|---|---|---|---|
| 교정 | 교정진단 | 3만원 | |
| 1차교정 | 150만원 | 월비 3만원 |
|
| 2차교정 | total | ||
| 투명교정 | 310만원 | 월비 5만원 포함 |
|
| 인비절라인 전체(컴프리헨시브) |
650만원 | ||
| 인비절라인 (라이트) |
500만원 | ||
| 인비절라인 (퍼스트) |
370만원 | ||
| 메탈 브라켓 | 380만원 | ||
| 세라믹 브라켓 | 400만원 | ||
| 클리피M | 430만원 | ||
| 클리피C | 450만원 | ||
| S-line | 500만원 | ||
| 콤비교정 | 650만원 | ||
| 7-7(클리피씨) 한 악 |
280만원 | ||
| 7-7(S-line) 한 악 |
300만원 | ||
| 3-3 상,하악 |
250만원 | ||
| 3-3 한 악 |
160만원 | ||
| 악궁확장장치 (RPE) |
35만원 | ||
| 보철교정 | 70만원 | ||
| DBD3-3 (악/상,하악) |
25/40만원 | ||
| DBD3-4 (악/상,하악) |
30/60만원 | ||
| 유지장치 | 타치과 fixed |
5만원 | 1치당 |
| 타치과 와이어찔림 |
1만원 | ||
| fixed (전악) |
15만원 | 타원 30만원 |
|
| c.r | 5만원 | 타원 15만원 |
|
| circum | 10만원 | 타원 20만원 |
|
| 임플란트 | 국산 (오스템) |
99만원 | 보철 변경시 구치부 5만원 전치부 10만원 |
| 외산 (스트라우만) |
145만원 | ||
| GBR | 30만원 | ||
| 상악동 거상술 (sinus life) |
50만원 | Crestal | |
| 100만원 | Lateral | ||
| 멤브레인 (menbrain) |
20만원 | 뼈이식 안들어 갈 시 |
|
| 보험임플란트 | 약40만원 | 보험 | |
| 일반/ 보철 치료 | |||
| 레진 | 구치부 1면 |
10만원 | 치료 부위 마다 상이함 (면당금액) |
| 구치부 2면 |
15만원 | ||
| 전치부 1면 |
15만원 | ||
| 전치부 2면 |
24만원 | ||
| 잇몸라인 (C.ab) |
8만원 | ||
| 앞니사이 (Diastema) |
20만원 | ||
| 전치부 파절 | 20만원 | ||
| 간단레진 볼/혀쪽 (B/Lingual picture) |
5만원 | ||
| 인레이 | 골드 인레이 | 35만원 | |
| 세라믹 인레이 | 30만원 | ||
| 세라믹 온레이 | 35만원 | ||
| 크라운 | 골드 크라운 | 55만원 | A(46%) |
| 지르코니아 | 50만원 | 구치부 | |
| 60만원 | 전치부 | ||
| PFM (겉:사기/안:금속) |
35만원 | 구치부 | |
| 45만원 | 전치부 | ||
| 가치 (pontic) |
cr비용 | ||
| 임플란트 타원 | 60만원 | cr만 | |
| 70만원 | 어버트 먼트 까지 |
||
| 라미네이트 | 60만원 (부가세 별도) | ||
| 코어 & post |
레진 core | 10만원 | |
| wall+core | 10만원 | ||
| post+core | 15만원 | ||
| 인접면우식 + rct한 전치부 core |
15만원 | ||
| 미백 | 자가미백 | 30만원 | 부가세 별도 |
| 전문가미백 | 30만원 | ||
| 전문가+자가미백 | 50만원 | ||
| 실활치미백 W.B | 10만원 | ||
| 치석제거 | 6만원 | ||