안녕하세요.
대전 연세바로치과
교정과 전문의 임경섭원장입니다.
치아교정 상담을 하다 보면
"어떤 곳은 치아 4개를 발치하고
어떤 곳은 2개만 뺀다고 하는데
왜 이렇게 차이가 나는 거에요?"
라는 질문을 종종 받습니다.
오늘은 이 질문에 대해,
실제 편측발치교정 케이스를
자세하게 정리해보았습니다.

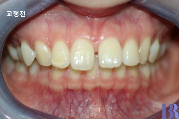
윗니가 아랫니에 비해 앞으로 많이 나와있다.
입술돌출 정도는 중간 정도
Case.
"입이 살짝 나와보이고,
치아 사이 공간이 있어요."
- 증상 : 치아사이 공간 있고 과개교합 존재
- 치료계획
1) 상악 제1소구치 2개 발치 (편측발치교정)
2) 상악 전치 후방이동 및 전방경사 조절과 공간 폐쇄
- 장치 : 클리피씨 장치
- 기간 : 2년 6개월
상하 양측 4개를 뽑지 않고,
상악 2개만 발치하는 경우를
편측발치라고 합니다.

과개교합 : 윗니가 아랫니를 깊게 덮음.
그로 인해 위에 앞니 사이에 공간이 발생함.
어떤 경우에 4개를 빼지 않고 2개를 빼게 될까??
1) 윗니가 아랫니에 비해 현저히 앞으로 나온 경우
2) 입술 돌출이 심하지 않은 경우 (중등도)
즉, 입술이 많이 나오지 않은 상태에서
윗니가 굉장히 아랫니에 비해
많이 앞으로 나온 경우에는
아랫니를 발치하지 않고
윗니만 발치하는 것이 좋습니다.
(편측발치교정이 더 적합합니다)
-> 그 이유는?
이런 경우 아랫니까지 발치하면
윗니가 들어오는 양이 너무 많아져
입술이 지나치게 너무 많이
들어갈 수 있기 때문입니다.

발치교정 사례 : 윗니와 아랫니 앞뒤 차이가 심하게 나네요.
즉 편측 발치 케이스의 핵심은
입을 조화롭게 넣으면서
치아를 올바른 교합으로
맞춰주는 데에 있습니다.

보통 편측발치 케이스에서는 상악 제1소구치를 발치하게 됩니다.
보통 편측발치의 경우,
상악 소구치 2개의 발치를
의미하게 됩니다.
(하악 편측발치는 잘 시행하지 않습니다.
왜냐하면 하악 편측 발치를 하게 되면
상악 최후방 대구치에 맞물리는
치아가 없어지기 때문입니다.)

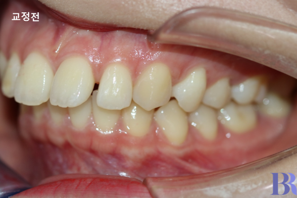
발치교정 : 하악 교정전 모습
위 환자분은 상악 제1소구치
두 곳에 발치를 진행했습니다.
약 2년 6개월의 기간이 걸려서
교정이 마무리되었습니다.

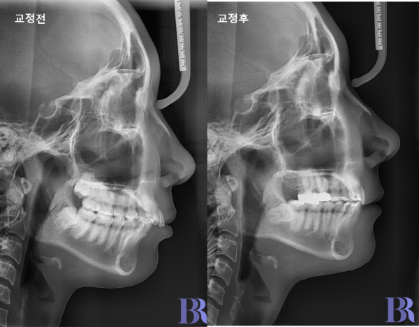
편측발치 교정 : 교정 전후 옆모습입니다.
입술라인이 과도하지 않고 자연스럽게 들어갔습니다.
교정전후 옆모습 사진입니다.
입술라인이 과도하지 않고
자연스럽게 들어갔습니다
위 환자분 같은 경우 아랫니까지
발치를 진행했다면 자칫
입술이 과하게 들어갔을 겁니다.

편측 발치교정 : 윗니가 아랫니를 깊게 덮는 것이 해결되었음.
치아 사이 공간도 잘 닫혔습니다.
이런 편측교정 케이스에서
성공적인 결과를 이끌어내는
가장 핵심적인 요소는
과개교합(윗니가 아랫니를 깊게 덮음)의
개선 수준에 달려 있습니다.

편측 발치교정 : 윗니와 아랫니 앞뒤 차이가
정상적으로 줄어든 것을 확인할 수있다.
교정 전후 옆모습입니다.
윗니와 아랫니 앞뒤 차이가
정상적으로 줄어들었습니다.
교합도 긴밀하게 잘 맞아들어
가는 것을 볼 수 있습니다.

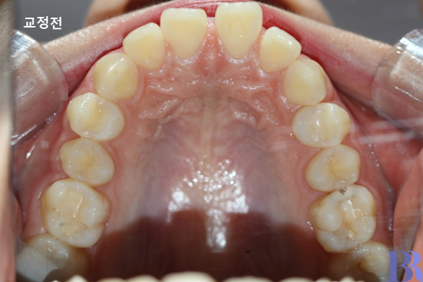
발치교정 케이스 : 윗니 악궁 전후 모습,
상악 제1소구치(첫번째 작은 어금니)가
발치된 것이 확인되고 있음.
위 사진은 교정 전후 윗니입니다.
첫번째 작은 어금니를 발치하여
교정한 것을 알 수 있습니다

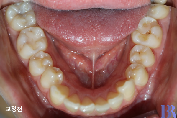
편측교정 케이스 : 아래 치아 모습,
아랫니는 발치 없이 교정을 마무리함.
아래치아 모습입니다.
아랫니는 발치없이 교정이
마무리된 것을 알 수 있습니다.
이처럼 성공적인 교정은
정밀한 진단이 핵심입니다.
단순치 치아만 보는 것이 아니라
얼굴 심미성, 치아 교합, 기능까지
얼마나 심층적으로 고려했는가가
무엇보다 가장 중요합니다.
Q&A : 자주 물어보신 질문
이외에 환자분들께서 평소
자주 물어보신 질문들에 대해
답변을 정리해보았습니다.
Q1. 비대칭이 생기지는 않나요?
A. 편측발치라고 해서 자동으로 비대칭이 생기는 것은 아닙니다. 상악만 발치한 경우와 상·하악 4개 발치한 경우를 비교한 국내 연구들을 보면, 정확히 진단하고 계획하면 얼굴의 정중선과 교합 균형은 충분히 맞출 수 있는 것으로 보고됩니다. 오히려 기존에 비대칭이 있던 환자에서, 전략적으로 편측발치를 사용해 구치 관계를 정리하면서 대칭성을 개선한 증례들도 있습니다. 결국 “어디를 얼마나 뺄지”보다, 3차원 분석과 정기적인 경과 관찰이 더 중요하다고 보시면 됩니다.
Q2. 교정 기간이 더 길어지거나 짧아지나요?
A. 치료 기간은 발치 개수보다 케이스 난이도, 골격 관계, 미니스크류 사용 여부, 환자 협조도에 더 큰 영향을 받습니다. 국내 편측발치 연구·증례들을 보면, 편측발치라고 해서 특별히 비정상적으로 짧거나 길어지는 경향은 없고, 대체로 2~3년 범위 안에서 일반적인 발치 교정과 비슷한 기간에 마무리되는 경우가 많습니다. 다만 비대칭 교합을 섬세하게 맞춰야 하는 케이스라면, 중간에 세밀한 조정 시간이 조금 더 필요할 수 있습니다.
Q3. 하악(아랫니) 편측발치를 거의 하지 않는다고 하셨는데, 예외적으로 하는 경우도 있나요?
A. 네, 다만 아주 예외적인 경우에만 신중하게 고려합니다. 하악에서 한쪽만 발치하면 양쪽 어금니 맞물림과 턱 위치에 직접 영향을 주기 때문에, 대부분의 연구와 임상 보고에서는 상악 편측발치나 양악 발치 패턴을 우선 권장합니다. 하악 편측발치는 보통 한쪽 어금니가 심하게 깨졌거나 예후가 매우 나쁜 경우, 혹은 특이한 비대칭·맹출 이상으로 다른 선택지가 거의 없을 때처럼 “특수 케이스”에서만 선택지로 검토됩니다. 이때도 전체 교합과 안모 균형을 유지할 수 있는지부터 먼저 계산한 뒤 결정합니다.
※ 레퍼런스 출처
1) 김영석, 김수정, 강승구, 이영준. 상악 편악 소구치발치와 양악 소구치발치에 의한 교정치료 전후의 측모 두부방사선계측법적 비교 연구. 대한치과교정학회지. 2007;37(6):421-431.
2) 강주만, 오문비. 비대칭 구치 관계를 가진 입술돌출 환자에서 편측 구치부 후방 이동을 동반한 발치교정치료. 대한치과교정학회 임상저널. 2021;11(2):140-149.
3) 김송하, 오민희, 조진형, 황현식, 이경민. 불안정한 교합과 안면비대칭을 보이는 골격성 II급 부정교합 환자의 전략적 편측 발치를 통한 비수술적 치료의 7년 경과 관찰 치험례. 대한치과교정학회 임상저널. 2022;12(3):213-228.
| 이전글 | 양악수술하고 인비절라인으로 해도 될까요? (50대 주걱턱 환자 케이스) 2025.12.10 |
|---|---|
| 다음글 | 다음 게시글이 없습니다. |
| 교정/임플란트 | |||
|---|---|---|---|
| 교정 | 교정진단 | 3만원 | |
| 1차교정 | 150만원 | 월비 3만원 |
|
| 2차교정 | total | ||
| 투명교정 | 310만원 | 월비 5만원 포함 |
|
| 인비절라인 전체(컴프리헨시브) |
650만원 | ||
| 인비절라인 (라이트) |
500만원 | ||
| 인비절라인 (퍼스트) |
370만원 | ||
| 메탈 브라켓 | 380만원 | ||
| 세라믹 브라켓 | 400만원 | ||
| 클리피M | 430만원 | ||
| 클리피C | 450만원 | ||
| S-line | 500만원 | ||
| 콤비교정 | 650만원 | ||
| 7-7(클리피씨) 한 악 |
280만원 | ||
| 7-7(S-line) 한 악 |
300만원 | ||
| 3-3 상,하악 |
250만원 | ||
| 3-3 한 악 |
160만원 | ||
| 악궁확장장치 (RPE) |
35만원 | ||
| 보철교정 | 70만원 | ||
| DBD3-3 (악/상,하악) |
25/40만원 | ||
| DBD3-4 (악/상,하악) |
30/60만원 | ||
| 유지장치 | 타치과 fixed |
5만원 | 1치당 |
| 타치과 와이어찔림 |
1만원 | ||
| fixed (전악) |
15만원 | 타원 30만원 |
|
| c.r | 5만원 | 타원 15만원 |
|
| circum | 10만원 | 타원 20만원 |
|
| 임플란트 | 국산 (오스템) |
99만원 | 보철 변경시 구치부 5만원 전치부 10만원 |
| 외산 (스트라우만) |
145만원 | ||
| GBR | 30만원 | ||
| 상악동 거상술 (sinus life) |
50만원 | Crestal | |
| 100만원 | Lateral | ||
| 멤브레인 (menbrain) |
20만원 | 뼈이식 안들어 갈 시 |
|
| 보험임플란트 | 약40만원 | 보험 | |
| 일반/ 보철 치료 | |||
| 레진 | 구치부 1면 |
10만원 | 치료 부위 마다 상이함 (면당금액) |
| 구치부 2면 |
15만원 | ||
| 전치부 1면 |
15만원 | ||
| 전치부 2면 |
24만원 | ||
| 잇몸라인 (C.ab) |
8만원 | ||
| 앞니사이 (Diastema) |
20만원 | ||
| 전치부 파절 | 20만원 | ||
| 간단레진 볼/혀쪽 (B/Lingual picture) |
5만원 | ||
| 인레이 | 골드 인레이 | 35만원 | |
| 세라믹 인레이 | 30만원 | ||
| 세라믹 온레이 | 35만원 | ||
| 크라운 | 골드 크라운 | 55만원 | A(46%) |
| 지르코니아 | 50만원 | 구치부 | |
| 60만원 | 전치부 | ||
| PFM (겉:사기/안:금속) |
35만원 | 구치부 | |
| 45만원 | 전치부 | ||
| 가치 (pontic) |
cr비용 | ||
| 임플란트 타원 | 60만원 | cr만 | |
| 70만원 | 어버트 먼트 까지 |
||
| 라미네이트 | 60만원 (부가세 별도) | ||
| 코어 & post |
레진 core | 10만원 | |
| wall+core | 10만원 | ||
| post+core | 15만원 | ||
| 인접면우식 + rct한 전치부 core |
15만원 | ||
| 미백 | 자가미백 | 30만원 | 부가세 별도 |
| 전문가미백 | 30만원 | ||
| 전문가+자가미백 | 50만원 | ||
| 실활치미백 W.B | 10만원 | ||
| 치석제거 | 6만원 | ||