안녕하세요.
대전 연세바로치과 대표원장
교정과 전문의 임경섭입니다.
이제 방학이 다가왔으니
아이들이 많이 올 시즌이네요.
오늘은 무턱교정에 대해서
제 생각을 말씀드리려고 합니다.

나이 : 12세
성별 : 남자
내원 이유 : 윗니가 뻗어 있다
치료방법 : 턱교정(1차교정) 엑티베이터 with 헤드기어
치료시작 : 2024년 7월
치료종료 : 2025년 11월
치료기간 : 1년 4개월


1년 4개월 간 이루어진
턱교정치료가 끝났습니다.
아래턱이 이쁘게 나왔고
윗니와 아랫니의 앞뒤 차이가
정상 범위 내로 줄어들었습니다.
발치교정을 요하지 않는
상태로 만들었습니다^^
(턱성장을 잘 잡아주면 미래의 치료
선택지가 완전히 달라집니다)?

'무턱교정'에 대한
임경섭 원장 생각
1) 치료시기
골격이 가장 많이 자라는
최대 성장기에 하는 것이 좋습니다
여자아이 : 3, 4, 5학년
남자아이 : 4, 5, 6학년
덧붙이자면 약간 빠른 것은 괜찮지만
최대성장시기가 지난 다음에는
발치교정 하는 것이 더 낫습니다.
2) 치료효과
너무 좋습니다.
턱교정 중 무턱교정 예후가 제일 좋고,
비대칭 교정은 비교적 좋은 결과를
기대하기가 어려울 수 있습니다.
더불어 대부분은 턱교정 이후
치아교정 할 떄 발치하지 않아도 되는
경우가 훨씬 더 많습니다.

인비절라인 MA : 인비절라인 턱교정장치

엑티베이터 : 전통적으로 많이 사용합니다.
그만큼 효과가 보장되어 있으며, 저는 보통 헤드기어와 병용합니다.
3) 선호하는 장치
(1) 인비절라인 MA
기존의 트윈블록이라는 장치를
인비절라인에 적용한 장치입니다.
허나 저는 잘 사용하지 않는데요.
물론 장치의 효과는 좋습니다만,
인비절라인 퍼스트의 경우
18개월의 기간제한이 있습니다.
턱교정 + 치아교정을
모두 인비절라인 퍼스트로 하면
정해진 기간 안에 완벽한
결과를 만들기가 어렵습니다.
(참고로 대전 연세바로치과가
대전에서 제일 인비절라인을
많이 하는 곳입니다.
그럼에도 잘 사용하지 않는 이유는
"인비절라인을 가장 최적의 시기에
꼭 필요한 분에게만 사용하도록
권하는 철학"을 고수하기 때문입니다)
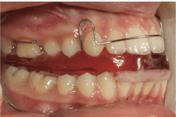
2. 엑티베이터+ 헤드기어
제가 선호하는 턱교정장치로,
오랫동안 검증을 받았습니다.
이것으로 턱교정을 하고
2차교정을 진행할 때
인비절라인 퍼스트로 하면
기간의 압박없이 완벽하게
치료할 수 있습니다.
- 결 론 -
무턱교정은 언제 시작하느냐가
모든 것을 결정합니다.
최대 성장기를 잡 잡으면
발치 없이 얼굴의 전반적인
밸런스가 좋아지고
그만큼 나중에 아이가
시작하게 될 지도 모르는
추가적인 교정치료의 난이도가
훨씬 쉬워집니다.
| 이전글 | 치아재교정도 인비절라인으로 가능한가요? {치아재교정 인비절라인 케이스) 2025.12.24 |
|---|---|
| 다음글 | 다음 게시글이 없습니다. |
| 교정/임플란트 | |||
|---|---|---|---|
| 교정 | 교정진단 | 3만원 | |
| 1차교정 | 150만원 | 월비 3만원 |
|
| 2차교정 | total | ||
| 투명교정 | 310만원 | 월비 5만원 포함 |
|
| 인비절라인 전체(컴프리헨시브) |
650만원 | ||
| 인비절라인 (라이트) |
500만원 | ||
| 인비절라인 (퍼스트) |
370만원 | ||
| 메탈 브라켓 | 380만원 | ||
| 세라믹 브라켓 | 400만원 | ||
| 클리피M | 430만원 | ||
| 클리피C | 450만원 | ||
| S-line | 500만원 | ||
| 콤비교정 | 650만원 | ||
| 7-7(클리피씨) 한 악 |
280만원 | ||
| 7-7(S-line) 한 악 |
300만원 | ||
| 3-3 상,하악 |
250만원 | ||
| 3-3 한 악 |
160만원 | ||
| 악궁확장장치 (RPE) |
35만원 | ||
| 보철교정 | 70만원 | ||
| DBD3-3 (악/상,하악) |
25/40만원 | ||
| DBD3-4 (악/상,하악) |
30/60만원 | ||
| 유지장치 | 타치과 fixed |
5만원 | 1치당 |
| 타치과 와이어찔림 |
1만원 | ||
| fixed (전악) |
15만원 | 타원 30만원 |
|
| c.r | 5만원 | 타원 15만원 |
|
| circum | 10만원 | 타원 20만원 |
|
| 임플란트 | 국산 (오스템) |
99만원 | 보철 변경시 구치부 5만원 전치부 10만원 |
| 외산 (스트라우만) |
145만원 | ||
| GBR | 30만원 | ||
| 상악동 거상술 (sinus life) |
50만원 | Crestal | |
| 100만원 | Lateral | ||
| 멤브레인 (menbrain) |
20만원 | 뼈이식 안들어 갈 시 |
|
| 보험임플란트 | 약40만원 | 보험 | |
| 일반/ 보철 치료 | |||
| 레진 | 구치부 1면 |
10만원 | 치료 부위 마다 상이함 (면당금액) |
| 구치부 2면 |
15만원 | ||
| 전치부 1면 |
15만원 | ||
| 전치부 2면 |
24만원 | ||
| 잇몸라인 (C.ab) |
8만원 | ||
| 앞니사이 (Diastema) |
20만원 | ||
| 전치부 파절 | 20만원 | ||
| 간단레진 볼/혀쪽 (B/Lingual picture) |
5만원 | ||
| 인레이 | 골드 인레이 | 35만원 | |
| 세라믹 인레이 | 30만원 | ||
| 세라믹 온레이 | 35만원 | ||
| 크라운 | 골드 크라운 | 55만원 | A(46%) |
| 지르코니아 | 50만원 | 구치부 | |
| 60만원 | 전치부 | ||
| PFM (겉:사기/안:금속) |
35만원 | 구치부 | |
| 45만원 | 전치부 | ||
| 가치 (pontic) |
cr비용 | ||
| 임플란트 타원 | 60만원 | cr만 | |
| 70만원 | 어버트 먼트 까지 |
||
| 라미네이트 | 60만원 (부가세 별도) | ||
| 코어 & post |
레진 core | 10만원 | |
| wall+core | 10만원 | ||
| post+core | 15만원 | ||
| 인접면우식 + rct한 전치부 core |
15만원 | ||
| 미백 | 자가미백 | 30만원 | 부가세 별도 |
| 전문가미백 | 30만원 | ||
| 전문가+자가미백 | 50만원 | ||
| 실활치미백 W.B | 10만원 | ||
| 치석제거 | 6만원 | ||