안녕하세요
대전 연세바로치과 대표원장
교정과 전문의 임경섭입니다.
요새 환자분들이 주걱턱이
수술 없이 해결 가능한지를
많이 여쭈어보십니다.
이번 글에서는 어떤 경우에
교정으로만 해결할 수 있는지
케이스로 정리해보았습니다.

아랫니가 심하게 거꾸로 물림(반대교합)
<내원 이유>
"치아가 거꾸로 물려서
앞니로 끊어 먹기 힘들고
위에 앞니 두 개도 없어요."
환자 연령 : 12세
치료기간 : 3년
치료방법 : 비발치
치료장치 : 클리피씨

윗니와 아랫니 앞니끼리 물도록 유도해본다
어떤 경우에 수술 없이
주걱턱 교정이 가능할까요?
앞니가 서로 닿을 수 있는지
한번 시도해보세요!!!
위의 엑스레이처럼
앞니끼리 맞닿게 물 수 있다면
교정만으로 반대교합을
해결하실 수 있습니다.

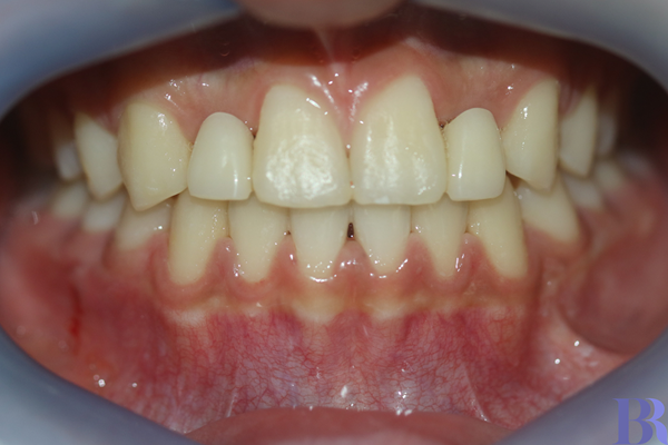
교정 후 정면 모습
반대교합이 해결되었으며,
위에 앞니 두 개의 공간도
충분히 확보해주었습니다.
아직 나이가 어려서
임플란트를 할 수 없어서
가공치를 배치하였습니다.
* 임플란트는 성장 완료 후 식립

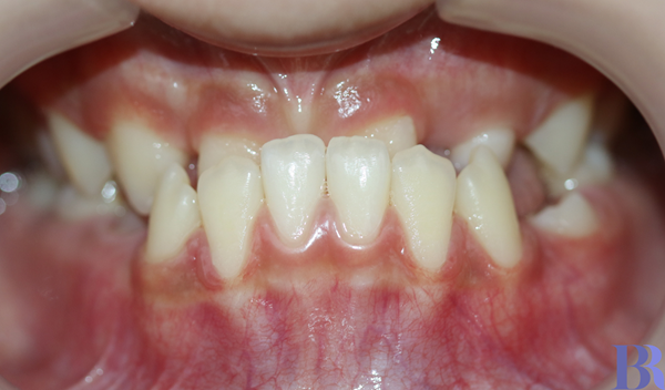
교정 전 오른쪽 모습
반대교합 양상이 심한 것을
알 수 있습니다.
과연 교정으로만 해결할 수
있을까 싶을 정도입니다.

교정 후 오른쪽 모습
반대교합이 잘 해결되었네요.
뿐만 아니라 교합도
굉장히 안정적으로 형성됐습니다.
정말 뿌듯합니다!!! ^^

교정 전 왼쪽 모습
교정 전 좌측 모습입니다
앞니로 음식물을 제대로
끊어 먹을수도 없고
어금니도 잘 맞물리지 않네요.

교정 후 왼쪽 모습
외모도 개선되었지만
보기만 해도 얼마나 편할까요?
이럴 때 제일 뿌듯합니다^^

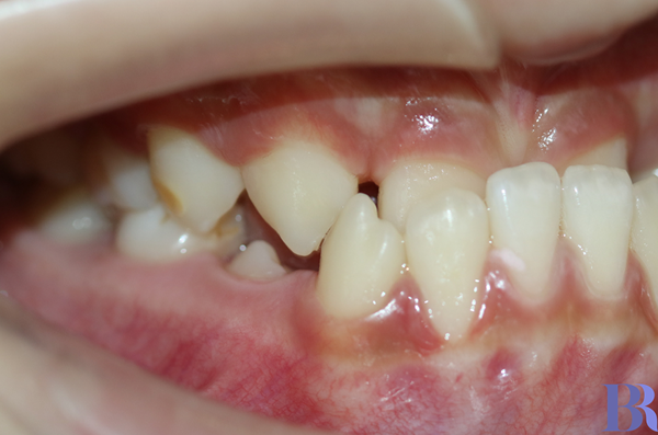
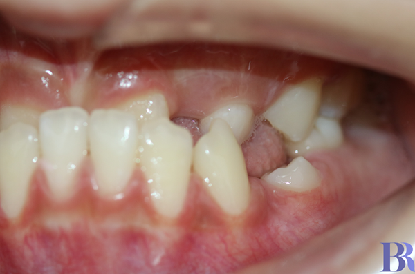
교정 전 윗니 모습
교정 전 윗니 모습입니다
두번째 앞니가 선척적으로
결손된 상태네요.
시간이 갈수록 저 공간은 줄어 들어
반대교합이 심해지겠습니다.

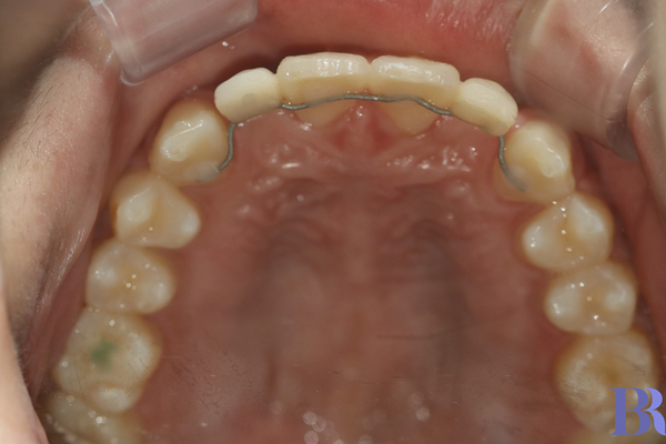
교정 후 윗니 모습
상실된 공간을 모두 확보하고
그 공간에 가공치를 붙여서
심미성을 확보하였습니다.
저 공간은 성장이 멈춘 뒤
임플란트를 하게 됩니다.

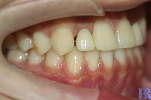
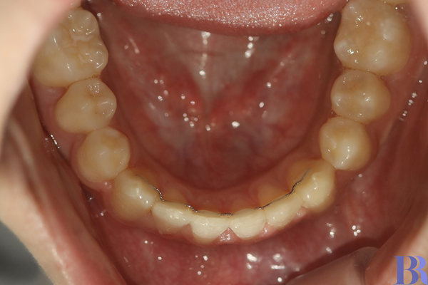
교정전 아래 치아 모습
교정 전 아래 치아 모습입니다.
반대교합이 심하다 보니
아래 치아 앞니가 안쪽으로
심하게 쓰러져 있습니다.
(최근에 진단했던 어린 친구도
저런 상태로 왔는데...ㅠㅠ)

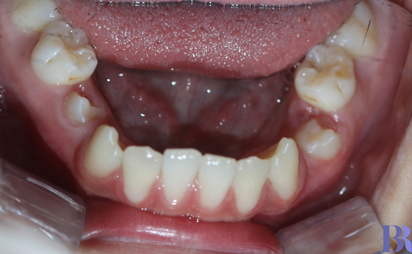
교정 후 아래 치아 모습
교정 후 아래 치아 모습입니다.
쓰러진 앞니가 세워져서
훨씬 더 건강해보입니다.
※ 결론 ※
주걱턱이 심한데
교정으로만 가능할까,
궁금하셨죠?
윗니와 아랫니가 닿을 수 있게
한번 노력해보세요
치아가 닿는다면 가능합니다.
단!!!
외모 변화가 양악수술처럼
드라마틱하지는 않습니다.
또 한 가지,
주걱턱 교정을 고민하시는
환자분들 중에서 만약
아래 사랑니가 똑바로
나와 있는 경우에 해당한다면
절대 발치하지 말고 오세요!!!
유용하게 쓰일 수 있습니다.
이상 대전 연세바로치과
대표원장 임경섭이었습니다^^
| 이전글 | 세련된 얼굴라인을 만드는 교정 치료 (돌출입 케이스 리뷰) 2026.03.19 |
|---|---|
| 다음글 | 다음 게시글이 없습니다. |
| 교정/임플란트 | |||
|---|---|---|---|
| 교정 | 교정진단 | 3만원 | |
| 1차교정 | 150만원 | 월비 3만원 |
|
| 2차교정 | total | ||
| 인비절라인 전체(컴프리헨시브) |
5년형 700만원 | 월비 5만원 포함 |
|
| 3년형 650만원 | |||
| 인비절라인 (라이트) |
500만원 | ||
| 인비절라인 (퍼스트) |
450만원 | ||
| 메탈 브라켓 | 380만원 | ||
| 세라믹 브라켓 | 400만원 | ||
| 클리피M | 430만원 | ||
| 클리피C | 450만원 | ||
| 셀프로피 | 500만원 | ||
| 콤비교정 | 650만원 | ||
| 7-7(클리피씨) 한 악 |
280만원 | ||
| 7-7(S-line) 한 악 |
300만원 | ||
| 3-3 상,하악 |
250만원 | ||
| 3-3 한 악 |
160만원 | ||
| 악궁확장장치 (RPE) |
35만원 | ||
| 보철교정 | 70만원 | ||
| DBD3-3 (악/상,하악) |
25/40만원 | ||
| DBD3-4 (악/상,하악) |
30/60만원 | ||
| 유지장치 | fixed (전악) |
15만원 | |
| c.r | 5만원 | ||
| circum | 10만원 | ||
| 임플란트 | 국산 (오스템) |
99만원 | 보철 변경시 구치부 5만원 전치부 10만원 |
| 외산 (스트라우만) |
145만원 | ||
| GBR | 30만원 | ||
| 상악동 거상술 (sinus life) |
50만원 | Crestal | |
| 100만원 | Lateral | ||
| 멤브레인 (menbrain) |
20만원 | 뼈이식 안들어 갈 시 |
|
| 보험임플란트 | 약40만원 | 보험 | |
| 일반/ 보철 치료 | |||
| 레진 | 구치부 1면 |
10만원 | 치료 부위 마다 상이함 (면당금액) |
| 구치부 2면 |
15만원 | ||
| 전치부 1면 |
15만원 | ||
| 전치부 2면 |
24만원 | ||
| 잇몸라인 (C.ab) |
8만원 | ||
| 앞니사이 (Diastema) |
20만원 | ||
| 전치부 파절 | 20만원 | ||
| 간단레진 볼/혀쪽 (B/Lingual picture) |
5만원 | ||
| 인레이 | 골드 인레이 | 55만원 (변동가능성 있음) | |
| 세라믹 인레이 | 30만원 | ||
| 크라운 | 골드 크라운 | 90만원 (변동가능성 있음) | A(46%) |
| 지르코니아 | 50만원 | 구치부 | |
| 60만원 | 전치부 | ||
| PFM (겉:사기/안:금속) |
35만원 | 구치부 | |
| 45만원 | 전치부 | ||
| 가치 (pontic) |
cr비용 | ||
| 임플란트 타원 | 60만원 | cr만 | |
| 70만원 | 어버트 먼트 까지 |
||
| 라미네이트 | 60만원 (부가세 별도) | ||
| 코어 & post |
레진 core | 10만원 | |
| wall+core | 10만원 | ||
| post+core | 15만원 | ||
| 인접면우식 + rct한 전치부 core |
15만원 | ||
| 미백 | 자가미백 | 30만원 | 부가세 별도 |
| 전문가미백 | 30만원 | ||
| 전문가+자가미백 | 50만원 | ||
| 실활치미백 W.B | 10만원 | ||
| 치석제거 | 6만원 | ||