“어차피 수술 자체는 다
거기서 거기 아니에요?”
안녕하세요.
대전 연세바로치과 대표원장
Invisalign Top Provider,
교정과 전문의 임경섭입니다.
임플란트 때문에 내원해주신
환자분들께서 이런 식의
질문을 주실 때가 많았습니다.
물론 매식체를 식립하는 과정
자체는 의사 입장에서도
어렵지 않다고 알려졌습니다.
그러다 보니 최근 들어
비용을 낮추는 경쟁이 더더욱
가속화되기 시작했는데요.

어떤 분께선 농담하듯이
“이렇게 싸면 신경치료할 바에
아예 뽑고 새로 심는 게
더 좋지 않을까 싶네요”라고
말씀하셨는데요.
그래서 이 글을 읽고 계실
여러분께 한번 여쭙고
싶은 질문이 생각났습니다.
“이런 식으로 저렴한 곳이
어떤 형태로 운영될지
한번쯤 짐작해보셨는지요?”
오늘은 본원에서 실제 진행한
치료사례를 다룬 후기와
임플란트에 대해서 참고하실
중요한 내용 몇 가지를
자세하게 정리해보았습니다.
- 목 차 -
1. 폐업, 그리고 먹튀
2. 심으면 끝이라고?
3. 저렴한 곳이 아니라
4. 질문과 답변(Q&A)
5. 글을 마치면서
1. 폐업, 그리고 먹튀
한때 헬스장이나 필라테스가
갑작스럽게 문을 닫고
잠적해버리는 사건이 많아져
많은 분쟁이 있었습니다.

물론 의료업계에서도 이러한
문제가 종종 일어났지요.
그러면서 환자분들 사이에서
불신이 퍼지게 됐습니다.
이런 문제는 치과 쪽에서도
심심찮게 나타났는데요.
거의 매년에 1건은 꾸준하게
기사를 볼 수 있었습니다.
자주 내원하던 곳이 갑자기
폐업하면 그만큼 치료를
지속하기가 힘들어지는데요.

경우에 따라 어떤 분께서는
의사의 진단에 따라서
매식체를 식립하기 위해서
손상된 치아를 발치하고
대기 중이실 수도 있습니다.
이렇게 되면 돈도 돈이지만
진료가 이어지지 못해서
난감해지는 일이 발생하지요.
환불이 원활하지 못해서
그 피해가 고스란히 환자분께
전가되는 경우도 생각보다
적지 않다고 확인되었습니다.
2. 심으면 끝이라고?
이처럼 지나치게 수가가 낮은
의료기관은 부실 운영의
가능성을 배제하기가 조금은
힘들 수 있다고 알려졌죠.

이런 문제와 더불어 저는
진단 및 수술 자체에 대해서
차이가 나타난다는 점을
자세히 다뤄보고 싶었습니다.
그래서 사례를 준비했는데요.
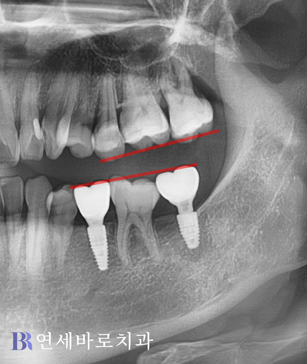
오늘 소개할 환자분께서는
하악 왼쪽의 어금니 두 곳이
탈락한 상태로 오셨습니다.
해당 부위 치조골이 다소
밑으로 내려간 모습이었으며,
이외에 여러 가지 문제가
다소 복잡하게 얽혀 있었습니다.

우선 제1대구치가 한쪽으로
기울어진 상태였는데요.
그러면서 제2소구치 부분에
매식체가 들어갈 공간이
상당 부분 소실되었습니다.
그래서 임플란트를 심으려면
그만큼 다른 자연치아를
삭제할 수 밖에 없었습니다.
게다가 사랑니 때문에 밀려
윗니 1개가 내려왔는데,
정상적인 교합을 완성하려면
영구치를 희생시키면서
높이를 맞춰주어야 했습니다.

환자분께 이점을 설명하고
부분교정으로 치아의 위치를
적절하게 조정하는 것이
어떻겠냐고 권해드렸습니다.
여기에 본인도 동의하셨고,
수술 전에 교정을 먼저
진행하기로 결정하였습니다.
하악에서는 쓰러진 어금니를
올바른 각도로 세웠으며,
아래로 내려온 상악 치아에는
상방 견인을 도모했습니다.

나중에 윗니가 내려오지 않게
사랑니도 발치하였습니다.
이렇게 부분교정이 마무리되고
매식체를 식립하기 위해서
본격적인 수술이 이어졌습니다.
위 사진은 최종 크라운까지
완전히 결합하고 촬영했는데요.
골유착이 잘 이루어진 데다,
교합도 훌륭하게 맞춰졌습니다.
더불어 기존 치아의 삭제 없이
임플란트가 훨씬 안전하게
완성되었다는 점에서 환자분도
긍정적으로 평가하셨습니다.
3. 저렴한 곳이 아니라
만약 이분께서 가격만을 보고
교정 없이 수술하셨다면,
건강한 영구치를 희생시키는
결과로 이어졌을 겁니다.

이런 점에서 의사의 역할이
환자분에게 가장 이로운
치료방법을 제시하는 것에서
출발한다고 생각합니다.
물론 그러기 위해서 그만큼
의료진은 본인이 전공한
의학분야 외적으로도 풍부한
경험을 갖추어야 합니다.
이런 이유로 완전히 소실된
자연치아의 수복치료는
단순히 매식체 가격 만으로
결정하기가 어렵습니다.

그럼에도 불구하고 지금껏
많은 의료기관이 무분별하게
저렴한 곳임을 강조하며
환자 유입을 유도해왔습니다.
비정상적으로 낮은 수가는
곧 부실한 경영 내지는
불만족스러운 치료 결과나
부작용 등의 좋지 않은
문제로 이어질 수 있습니다.
그렇기 때문에 임플란트가
필요하시다면 SNS 등에
자주 보이는 광고를 무조건
신뢰하시기 보다 한번쯤
의심해보는 것이 좋습니다.
4. 질문과 답변(Q&A)
마지막으로 평소 자주 받은
문의사항에 관한 내용을
간단하게 정리해보았습니다.

Q.
뼈이식은 왜 하는 건가요?
탈락한 곳이 오랫동안
방치되면 그만큼 잇몸뼈의
두께가 점점 얇아져서
매식체를 심기가 힘들어질
수 있다고 알려졌습니다.
이런 곳에 자가골 내지는
동종골이나 이종골, 합성골을
옮겨 심으면 그만큼 좋은
골유착을 기대할 수 있습니다.
물론 모든 케이스에 대해
반드시 필요한 것은 아니라서
정밀한 진단이 요구됩니다.

Q.
보험적용이 가능한가요?
만 65세 이상의 고령자이신
일부 어르신들의 경우에
국민건강보험제도의 혜택이
지원된다고 확인됐습니다.
본인 부담금은 30% 정도로,
부분틀니와도 중복하여
적용한다고 알려졌습니다.
다만 소재, 개수와 더불어
골이식술 진행 여부에 따라
비용이 차이가 있습니다.

Q.
남은 영구치가 없는데
수술해도 괜찮나요?
전악 완전 소실의 경우에도
전체적인 보철을 맞추고
이것을 잇몸에 연결하는
임플란트 수술이 가능합니다.
이런 유형의 환자분들은
보통 잇몸뼈가 다량 소실된
고령이신 분이 많으셔서
골이식술 및 상악동거상술이
함께 진행되기도 합니다
5. 글을 마치면서
이렇게 임플란트 때문에
고민 중이신 분들을 위해서
실제 사례 후기와 더불어
몇 가지 참고하실 내용들을
자세히 살펴보았습니다.

끝으로 연세바로치과에서는
개원 이래로 지금까지
둔산동에서만 10년이 넘는
전통을 지켜왔습니다.
그만큼 오랜 기간에 걸쳐서
지역 내 주민들로부터
꾸준한 신뢰와 사랑을 받고
믿을 수 있는 주치의로
자리를 잡을 수 있었습니다.
앞으로도 언제든 믿고 찾는
의사로 기억될 수 있도록
많은 노력을 기울이겠습니다.
긴 글 읽어주셔서 감사합니다.
지금까지 대전 연세바로치과
대표원장 임경섭이었습니다.
| 이전글 | 인비절라인 후기 돌출입 발치 교정이 가능할까요? (Adult Invisalign extraction orthodontic case) 2026.04.17 |
|---|---|
| 다음글 | 다음 게시글이 없습니다. |
| 교정/임플란트 | |||
|---|---|---|---|
| 교정 | 교정진단 | 3만원 | |
| 1차교정 | 150만원 | 월비 3만원 |
|
| 2차교정 | total | ||
| 인비절라인 전체(컴프리헨시브) |
5년형 700만원 | 월비 5만원 포함 |
|
| 3년형 650만원 | |||
| 인비절라인 (라이트) |
500만원 | ||
| 인비절라인 (퍼스트) |
450만원 | ||
| 메탈 브라켓 | 380만원 | ||
| 세라믹 브라켓 | 400만원 | ||
| 클리피M | 430만원 | ||
| 클리피C | 450만원 | ||
| 셀프로피 | 500만원 | ||
| 콤비교정 | 650만원 | ||
| 7-7(클리피씨) 한 악 |
280만원 | ||
| 7-7(S-line) 한 악 |
300만원 | ||
| 3-3 상,하악 |
250만원 | ||
| 3-3 한 악 |
160만원 | ||
| 악궁확장장치 (RPE) |
35만원 | ||
| 보철교정 | 70만원 | ||
| DBD3-3 (악/상,하악) |
25/40만원 | ||
| DBD3-4 (악/상,하악) |
30/60만원 | ||
| 유지장치 | fixed (전악) |
15만원 | |
| c.r | 5만원 | ||
| circum | 10만원 | ||
| 임플란트 | 국산 (오스템) |
99만원 | 보철 변경시 구치부 5만원 전치부 10만원 |
| 외산 (스트라우만) |
145만원 | ||
| GBR | 30만원 | ||
| 상악동 거상술 (sinus life) |
50만원 | Crestal | |
| 100만원 | Lateral | ||
| 멤브레인 (menbrain) |
20만원 | 뼈이식 안들어 갈 시 |
|
| 보험임플란트 | 약40만원 | 보험 | |
| 일반/ 보철 치료 | |||
| 레진 | 구치부 1면 |
10만원 | 치료 부위 마다 상이함 (면당금액) |
| 구치부 2면 |
15만원 | ||
| 전치부 1면 |
15만원 | ||
| 전치부 2면 |
24만원 | ||
| 잇몸라인 (C.ab) |
8만원 | ||
| 앞니사이 (Diastema) |
20만원 | ||
| 전치부 파절 | 20만원 | ||
| 간단레진 볼/혀쪽 (B/Lingual picture) |
5만원 | ||
| 인레이 | 골드 인레이 | 55만원 (변동가능성 있음) | |
| 세라믹 인레이 | 30만원 | ||
| 크라운 | 골드 크라운 | 90만원 (변동가능성 있음) | A(46%) |
| 지르코니아 | 50만원 | 구치부 | |
| 60만원 | 전치부 | ||
| PFM (겉:사기/안:금속) |
35만원 | 구치부 | |
| 45만원 | 전치부 | ||
| 가치 (pontic) |
cr비용 | ||
| 임플란트 타원 | 60만원 | cr만 | |
| 70만원 | 어버트 먼트 까지 |
||
| 라미네이트 | 60만원 (부가세 별도) | ||
| 코어 & post |
레진 core | 10만원 | |
| wall+core | 10만원 | ||
| post+core | 15만원 | ||
| 인접면우식 + rct한 전치부 core |
15만원 | ||
| 미백 | 자가미백 | 30만원 | 부가세 별도 |
| 전문가미백 | 30만원 | ||
| 전문가+자가미백 | 50만원 | ||
| 실활치미백 W.B | 10만원 | ||
| 치석제거 | 6만원 | ||